试题详情
- [材料题] 患者女性,48岁,既往无慢性心肺疾病史。因"慢性肾炎、慢性肾功能不全、尿毒症期",于2015年4月在某医院行同种异体肾移植,术后应用甲泼尼龙500mg、抗人T细胞免疫球蛋白750mg免疫诱导治疗3天,术后第3天肾功能恢复正常,服用麦考酚钠肠溶片、环孢素A胶囊、甲泼尼龙片进行免疫抑制治疗。术后第100天患者出现发热,体温最高39.2℃,伴胸闷,无咳嗽、咳痰症状。自行在家中服用"头孢呋辛酯片"0.25g,2次/天,共3天,体温正常后停药。2天后患者再次出现发热,体温39.5℃,伴干咳、呼吸困难。查体:烦躁,呼吸较促,肺部听诊未闻及干湿啰音;心脏、腹部检查未见异常体征。
- 多项选择题1.引起患者近期发热、胸闷、呼吸困难的常见原因是( )
A、巨细胞病毒肺炎
B、肺孢子菌肺炎
C、肺结核
D、肺栓塞
E、心功能不全
F、肺炎链球菌肺炎
G、肺曲霉病
关注下方微信公众号,搜题查看答案

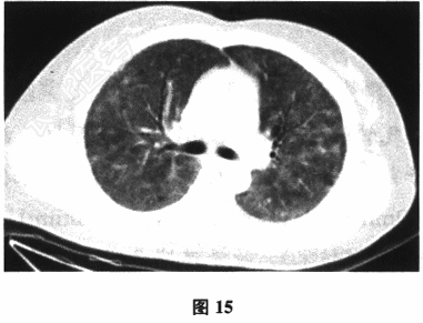
- 多项选择题2.[提示]患者入院后胸部CT检查见图15。为明确诊断还需进行下列哪些检查( )

A、诱导痰检查
B、支气管肺泡灌洗
C、动脉血气分析
D、G试验
E、GM试验
F、痰找抗酸杆菌
G、心脏B超
H、肺动脉CTA
I、肾功能检查
关注下方微信公众号,搜题查看答案

- 多项选择题3.[提示]进一步检查结果:诱导痰培养结果阴性, 支气管肺泡灌洗液检出肺孢子菌包囊;动脉血气分析(未吸氧情况下): pH7.40,PO252mmHg(1mmHg=0.133kPa), PCO245mmHg,HCO-326mmol/L, BE2mmol/L;GM试验阴性; 血肌酐检测:40μmol/L。目前患者应诊断为( )
A、肺曲霉病
B、肺孢子菌肺炎
C、Ⅰ型呼吸衰竭
D、Ⅱ型呼吸衰竭
E、肾移植术后
F、肾功能不全
关注下方微信公众号,搜题查看答案

- 多项选择题4.下一步应采取哪些治疗措施( )
A、予氧疗,必要时呼吸机辅助通气
B、应用糖皮质激素
C、酌情输注人免疫球蛋白
D、维持水、电解质平衡
E、应用复方磺胺甲噁唑
F、口服多西环素
G、静脉滴注氯霉素
关注下方微信公众号,搜题查看答案

热门试题
- 经支气管镜介导腔内热烧灼治疗包括A、气道
- 1、最可能的诊断是 ( )2、为
- 支气管哮喘发作的临床特点是A、反复发作B
- 原发性肺动脉高压常用的血管舒张剂是A、硝
- 阻塞性肺气肿可出现下列哪些病理生理改变A
- 1、本病例最可能的诊断是( )A、慢
- 1、该疾病最可能的诊断是2、其最常见病原
- 结核菌素试验结果硬结直径在10mm以内,
- 下列哪些是可疑肺癌的表现A、反复发作的同
- 哮喘控制的标准是A、无(或≤2次/周)白
- 肺栓塞的治疗目的是A、渡过危急期B、缩小
- COPD合并慢性肺心病可以引起死亡的原因
- 患者男,58岁,主诉咳嗽,憋气2 d,C
- 1、对于该患者最重要的临床检查是2、下一
- 1、该患者诊断为A、高血压病3级,极高危
- 持续气道正压机械通气的适应证是A、功能残
- 下列那些种是肺灌注显像的适应证( )
- 渗出性胸腔积液的特点有A、比重>1.01
- 慢性咳嗽是指A、否认咳嗽相关的慢性呼吸系
- 下列哪些符合慢性肺源性心脏病胸部X线表现