试题详情
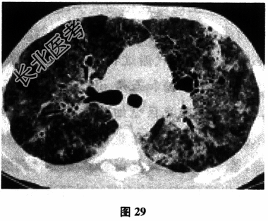
- [材料题] 患者女性,43岁,反复咳嗽、咳痰半年,加重伴气短2个月。胸部CT(图29):示双肺弥漫间质病变呈网状,合并磨玻璃样改变。曾因贫血有异体输血史。查体:呼吸浅快,双肺未闻及干湿啰音,心腹未见明显异常。实验室检查:人类免疫缺陷病毒(HIV)抗体检测2次均阳性。CD4淋巴细胞160个/μl。

- 多项选择题1.该患者最可能的诊断是( )
A、支原体肺炎
B、特发性肺纤维化
C、慢性阻塞性肺疾病
D、支气管哮喘
E、变应性支气管肺曲霉菌病(ABPA)
F、获得性免疫缺陷综合征(AIDS)合并卡氏肺孢子菌肺炎(PCP)
G、慢性支气管炎
关注下方微信公众号,搜题查看答案

- 多项选择题2.以下关于卡氏肺孢子菌肺炎的正确描述是( )
A、肺孢子菌在分类学上属于原虫
B、卡氏肺孢子菌主要感染人类,而引起鼠类肺炎的是伊氏肺孢子菌
C、PCP流行型曾发生于早产儿和营养不良的婴幼儿,散发型见于AIDS和其他原因所致的细胞免疫功能抑制患者
D、发热、干咳和渐进性呼吸困难是PCP患者的主要临床症状
E、PCP患者体征少
F、肺气囊是PCP特异性影像
G、病原学证据是主要的确诊依据,组织学检查不是必需证据
关注下方微信公众号,搜题查看答案

- 多项选择题3.PCP患者下列检查可能为阳性的是( )
A、痰液应用吉姆萨染色法可显示子孢子
B、肺泡灌洗液吉姆萨染色法可显示子孢子
C、痰细菌培养通常能检出肺孢子菌
D、血清半乳甘露聚糖抗原检测(GM试验)阳性
E、血清1,3-β-D-葡聚糖抗原检测(G试验)阳性
F、血乳酸脱氢酶(LDH)常升高,但无特异性
G、组织印片或切片吉姆萨染色法可显示子孢子
关注下方微信公众号,搜题查看答案

- 多项选择题4.该PCP患者的首选治疗方案是( )
A、复方磺胺甲噁唑
B、喷他脒(戊烷脒)
C、克林霉素联合伯氨奎
D、氨苯砜
E、阿托喹酮
F、三甲曲沙
G、卡泊芬净
关注下方微信公众号,搜题查看答案

热门试题
- 1、提问1:该患者最可能的诊断为2、提问
- 慢性肺源性心脏病肺、心功能失代偿期使用利
- 慢性肺源性心脏病早期可见有下列体征A、剑
- 治疗特发性间质性肺炎(IIP)患者,是否
- 肺炎的诊断程序包括哪些A、确定是上呼吸道
- 1、最可能的诊断是2、对该患者进行下一步
- 1、给患者的治疗建议是( )2、按以
- 1、患者为社区获得性肺炎,其致病菌可能是
- 哮喘发作时常见的体征是A、咳出粉红色泡沫
- 1、进一步完善检查项目应包括A、hsCR
- 1、该患者最可能的诊断是2、为进一步明确
- 是否发生肺炎决定哪些因素A、病原体B、社
- 1、该患者肺部并发症的临床诊断首先考虑是
- 1、最可能的诊断为2、尽快确诊应选择的检
- 能促进肺心病发生心力衰竭的因素有(
- 1、最有可能的诊断是 ( )A、
- 恶性胸腔积液的治疗方法有A、化疗B、放疗
- 1、该患者的胸片表现可见于下列哪些疾病A
- 1、此病人最可能的诊断是A、急性上呼吸道
- 肺炎支原体肺炎的并发症包括A、脑膜脑炎或