试题详情
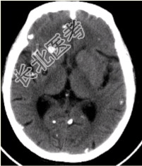
- [材料题] 患者男,45岁。头痛、癫痫10余年。查体:无发热,双侧肢体肌力正常。脑电图示双侧额颞叶棘波放电。CT表现如下图。

- 多项选择题1.可能的诊断为
A、包虫
B、囊虫
C、结核
D、转移瘤
E、真菌感染
F、甲状旁腺功能减低
关注下方微信公众号,搜题查看答案

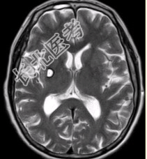
- 多项选择题2.初步拟诊为(提示MR表现如下图:既往在内蒙古生活7年。)

A、脑包虫
B、结核瘤
C、转移瘤
D、脑囊虫
E、多发性硬化
F、脑脓肿
G、腔隙性梗死
关注下方微信公众号,搜题查看答案

- 多项选择题3.脑囊虫病按部位分可分为
A、脑实质型
B、蛛网膜下腔型
C、脑室型
D、脑膜型
E、混合型
F、囊泡型
G、钙化型
关注下方微信公众号,搜题查看答案

- 多项选择题4.脑囊虫病的病理演变分为
A、急性期
B、囊胞期
C、胶样囊胞期
D、肉芽肿结节期
E、结节钙化期
F、慢性期
关注下方微信公众号,搜题查看答案

- 多项选择题5.头颅CT检查中,描述不正确的是
A、囊虫存活时(活囊虫),周围脑实质有显著水肿
B、囊虫存活时,周围脑实质没有水肿
C、囊虫死亡后(死囊虫),周围脑实质有显著水肿
D、囊虫死亡后,周围脑实质不再有水肿
E、无论囊虫存活与否,周围均有水肿
F、囊虫钙化沿血管分布
G、囊虫内可见头节
关注下方微信公众号,搜题查看答案

- 多项选择题6.头颅CT检查中,可见囊虫头节钙化, 其分期是
A、囊胞期
B、胶样囊胞期
C、肉芽肿结节期
D、结节钙化期
E、脑膜型
F、脑实质型
关注下方微信公众号,搜题查看答案

热门试题
- 关于子宫解剖和MR表现,正确的是A、子宫
- 输卵管结核的X线表现有哪些A、管腔内干酪
- 较容易识别的脊柱骨性标志是 (
- 男,28岁, 因鼻塞、头痛1年余,鼻窦C
- 骨性鼻中隔的主要组成结构为A、筛骨垂直板
- MRI在头颅鞍上池层面可以显示的脑神经为
- 经皮经肝胆道内引流术的并发症有 (
- 1、有关特征X线的解释,错误的是2、入射
- 1、最可能的CT诊断为2、患者有以下哪种
- 1、你认为应做那些检查?2、患者所做检查
- 目前对支气管扩张的诊断重要方法是A、支气
- 1、还应该做哪些检查。2、根据所提供的M
- 螺旋CT的特点包括 ( )A、
- 炎性假瘤弥漫炎症型的CT征象为 (
- 在泌尿系统MRI检查中,其图像特点有A、
- 属于固体栓塞材料的是 ( )A
- 先天性脊髓空洞MR征象包括A、T
- 高分辨率CT扫描通常用于 (
- 化脓性脑膜炎的MRI表现是A、脑表面呈较
- 关于食管癌的CT特点,下列描述哪些是正确