试题详情
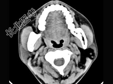
- 多项选择题男,38岁, 左侧腮腺渐进性肿大1年,无压痛, CT扫描如图所示,正确的描述或诊断是 ( )

A、左侧腮腺区见低密度肿块,CT值约为-200Hu
B、肿块边缘清楚,未见邻近结构受侵
C、囊肿
D、脂肪瘤
E、血管瘤
关注下方微信公众号,搜题查看答案

热门试题
- DR的特性A、成像速度快、工作流程短B、
- 胸部CT检查中需要采用俯卧位的情况有A、
- 自动无缝拼接技术的临床意义在于A、通过一
- CT检查适应证的三级表征是 (
- 螺旋CT的硬件结构主要包括A、探测器B、
- 横断面CT扫描颞骨,主要包括层面为
- X线发生装置包括 ( )A、控
- 通过眶上裂的脑神经为A、动眼神经B、滑车
- X线平片上乳突一般分为以下几型A、气化型
- 1、最可能采用的方法是2、层面选择为3、
- 关于螺旋CT扫描,主要的优点有A、提高图
- 属于颈外动脉分支的血管是A、甲状腺上动脉
- 1、最可能的诊断是2、关于该疾病的诊断,
- 下列属于X线管的固有滤过部分的是 (
- 以下对X线图像的特点描述正确的是(
- 1、你认为首先需要进行哪些检查?2、患者
- 男,60岁, 张口受限半年,CT检查如图
- CT扫描常见的伪影有 ( )A
- 腹部CT扫描受检者的准备工作中,与图像的
- 关于眼部MRI,叙述正确的是A、轴位T2