试题详情
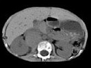
- 多项选择题男孩,5岁。消瘦、贫血、纳差和腹部包块3个月余, CT如图所示,下列说法正确的是

A、右侧腹腔内可见一巨大软组织肿块影,其边界欠清楚
B、肿块密度不均匀,可见片状的较高密度,考虑为出血,也可见点状的钙化影
C、该病灶来源于肝脏,考虑为肝母细胞瘤
D、该病灶来源于右肾上腺,考虑为神经母细胞瘤
E、该病灶来源于右肾,考虑为肾胚胎瘤
关注下方微信公众号,搜题查看答案

热门试题

A、右侧腹腔内可见一巨大软组织肿块影,其边界欠清楚
B、肿块密度不均匀,可见片状的较高密度,考虑为出血,也可见点状的钙化影
C、该病灶来源于肝脏,考虑为肝母细胞瘤
D、该病灶来源于右肾上腺,考虑为神经母细胞瘤
E、该病灶来源于右肾,考虑为肾胚胎瘤
关注下方微信公众号,搜题查看答案
