试题详情
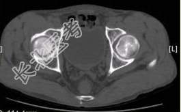
- [材料题] 男性,47岁。左髋部疼痛及压痛6个月,“4”字试验阳性。左髋关节内、外旋活动受限。检查提示:左髋关节活动轻度受限,大腿上部轻压痛。血常规检查正常。髋关节CT及MRI如下图。

- 多项选择题1.根据髋关节CT和MR影像,你认为此病例的影像学表现有
A、CT检查未见异常
B、左侧股骨头内可见线样高密度影
C、左股骨头塌陷变扁,其内可见条带状硬化
D、左股骨头内见蜿蜒走行的T
、T
低信号条带影E、左髋关节腔内可见弧线状长T
、长T
信号F、左髋关节间隙变窄
关注下方微信公众号,搜题查看答案

- 多项选择题2.对本病例,你首先考虑的诊断是
A、骨髓炎
B、左股骨头缺血性坏死
C、退行性关节病
D、关节结核
E、骨岛
F、左髋关节腔积液
关注下方微信公众号,搜题查看答案

- 多项选择题3.股骨头缺血性坏死早期诊断的最佳影像学检查方法是
A、CT
B、MRI
C、X线平片
D、ECT
E、USG
F、PETCT
关注下方微信公众号,搜题查看答案

热门试题
- 关于骨转移瘤的影像,表现描述正确的有 (
- 1、初步诊断为何病A、双侧髂骨致密性骨炎
- 下列叙述正确的是 ( )A、正
- 关于良性骨肿瘤的描述正确的有 ( )A、
- 关于骨髓瘤的分型,下列哪些正确 (
- 膝关节半月板桶柄状撕裂的MRI表现,正确
- 脊柱结构的四个生理弯曲是指A、颈曲B、腰
- 1、该患者最可能的诊断为 ( )2、为明
- CT诊断脊椎结核的优于X线平片的表述中,
- 肾小管性骨病的X线表现有 (
- 较容易识别的脊柱骨性标志是A、髂前上棘B
- 柯莱斯(Colles)骨折的X线表现为
- 1、需要考虑哪些疾病2、该病最可能的诊断
- MRI诊断软组织肿瘤,正确的是A、良性肿
- 肩袖完全撕裂的MRI间接征象为A、T
- 脊索瘤的好发部位是A、骶尾部B、蝶枕联合
- 骨折的CT诊断,正确的表述为A、CT是平
- 骨肿瘤的MRI影像特点有 ( )A、肿瘤
- 骨膜反应可见于下列哪些骨疾病A、骨髓炎B
- 骨梗死的X线改变包括A、囊状及分叶状透光