试题详情
- [材料题] 患者男性,66岁,腰痛数年伴左下肢疼痛麻木1周。
- 多项选择题1.患者应首先选择以下哪些影像学检查( )
A、左小腿X线片
B、腰椎CT
C、腰椎MR
D、腰椎X线平片
E、核素骨扫描
F、左膝关节CT
关注下方微信公众号,搜题查看答案

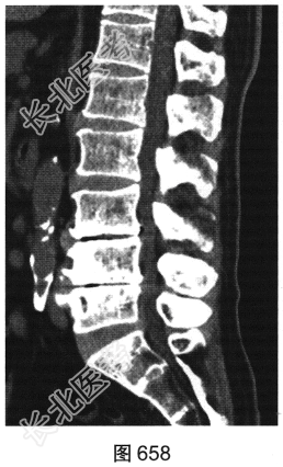
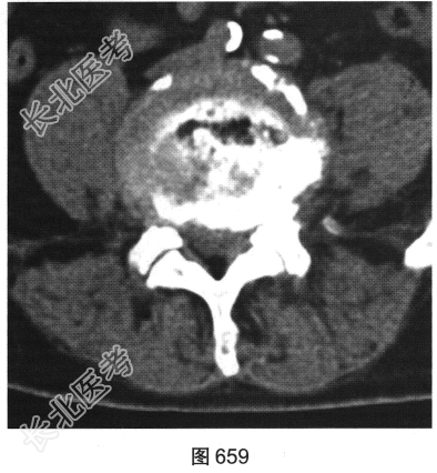
- 多项选择题2.[提示]患者行腰椎X线及CT检查,见图655~图659。患者有哪些阳性影像学表现( )




A、椎间盘“真空现象”
B、腰椎前滑脱
C、椎间盘膨出、突出
D、腰椎轻度侧弯
E、椎小关节骨质增生硬化
F、腰椎间隙变窄
关注下方微信公众号,搜题查看答案

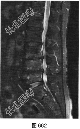
- 多项选择题3.[提示]患者行腰椎MRI检查,如图660~图663所示。患者MRI的T2压脂像上, 部分椎体上、下缘高信号提示( )



A、椎体感染所致的骨髓水肿
B、肿瘤侵蚀破坏
C、椎体轻度压缩骨折
D、脊椎结核
E、退变所致的终板炎
F、椎体脂肪化
关注下方微信公众号,搜题查看答案

- 多项选择题4.综合X线、CT和MRI图像,该患者有以下哪些腰椎退变征象( )
A、终板炎
B、腰椎间盘突出
C、许莫结节
D、黄韧带肥厚
E、腰椎管狭窄
F、腰椎间盘脱出,髓核游离
关注下方微信公众号,搜题查看答案

热门试题
- 维生素D缺乏症的X线表现有 ( )A、临
- 关于骨髓瘤的分型,下列哪些正确 (
- 脊柱退行性变主要是椎间盘的改变,下列属于
- 椎弓的构成包括A、椎弓根B、椎板C、棘突
- 骨转移瘤较常见的影像学征象为A、多发棉絮
- 软骨肉瘤的X线表现包括A、中心型软骨肉瘤
- 关节间隙是由哪些结构组成 ( )A、骨性
- 以下征象中可见于急性骨髓炎的有A、骨质破
- 移行椎尾侧移行的特点有 ( )A、第7颈
- 黏多糖在体内主要分布于哪些组织器官 (
- 退变性脊椎滑脱X线、CT特点为A、椎体移
- 来源于纤维组织的良性骨肿瘤的是 ( )A
- 从生物力学角度脊柱分为前、中、后三柱,正
- 软组织脂肪瘤的CT特点为A、肿瘤呈分叶状
- 1、为了明确诊断,患者需要做以下哪些检查
- 脂肪肉瘤包括哪些瘤细胞 ( )A、粘液样
- 对骨肿瘤影像诊断的要求包括A、如属肿瘤,
- 1、患者影像学表现有( )A、C
- 关于骨转移瘤的影像,表现描述正确的有 (
- 1、患者入院后应首先选择以下哪些影像学检