试题详情
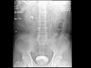
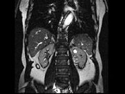
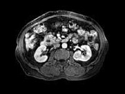
- 多项选择题男,67岁, 无痛性血尿1月,IVP和MRI检查如图示, 下列说法正确的是 ( )

A、IVP示左侧中组肾盏未见显影
B、左肾中部内侧可见类圆形不均匀信号肿块突向外
C、左肾上极可见一T
WI为高信号圆形病灶,边界清楚D、左肾中部病灶考虑为小肾癌
E、左肾上极病灶考虑为肾囊肿
关注下方微信公众号,搜题查看答案

热门试题
- 肾囊肿常用的放射诊断方法是 ( )A、腹
- 先天子宫发育畸形包括A、重复子宫B、半隔
- 肾盂癌CT表现,错误的是A、较小的肾盂癌
- 肾动脉瘤常见于下列哪些疾病A、动脉粥样硬
- 1、首先诊断2、关于该病的描述,正确的是
- 下列哪些是尿路梗阻的X线征象A、肾脏增大
- 肾上腺腺瘤的CT表现为A、密度均匀的类圆
- 下述关于乳腺纤维腺瘤的CT表现中,描述正
- 输尿管结石需与下列哪些病变相鉴别 (
- 关于膀胱恶性肿瘤,下列叙述正确的是A、膀
- 1、为明确病变起源于腹膜腔还是腹膜后,首
- 膀胱癌的CT表现,哪些是正确的A、易累及
- 输尿管结石易停留的部位是 ( )A、肾盂
- 肾上腺皮质癌的CT表现,正确的有A、肿瘤
- 1、最可能的诊断是2、首选的影像学检查是
- 1、最可能的诊断是2、该病在妇科的首选影
- 女,26岁, 临床诊断为绒毛膜癌,行经腹
- 关于肾盂,正确的说法是A、最佳显影时间是
- 男性生殖系统的CT表现,正确的描述是(
- 1、MR检查如下图,最可能的诊断是