试题详情
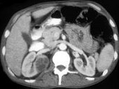
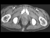
- 多项选择题男,35岁, 右侧腰部疼痛伴发热,根据所示图像, 最可能的诊断是 ( )


A、右侧肾脓肿
B、右侧单纯性肾囊肿
C、右侧囊性肾癌
D、右肾转移癌
E、前列腺脓肿
关注下方微信公众号,搜题查看答案

热门试题
- 下列哪些为肾上腺功能亢进性病变A、库欣综
- 关于前列腺的说法正确的有A、后方借直肠膀
- 肾结石的典型表现为A、桑葚状B、分层状C
- 1、最可能的疾病是2、该患者进一步检查首
- 1、根据症状分析,应做哪些检查2、患者做
- 正常肾上腺的MRI表现A、位于肾筋膜囊内
- 关于肾动脉CTA,哪些说法正确A、属于C
- 下列关于MRI检查乳腺病变作用中,描述正
- 关于先天性肾脏病变,下列说法正确的是A、
- 选择性髂内动脉造影术的适应证有哪些A、原
- 女,26岁, 临床诊断为绒毛膜癌,行经腹
- 正常前列腺的中央带与外周带在T
- 男,53岁, 体重明显下降而行CT检查,
- 关于腹膜后肿瘤的CT表现,正确的描述是(
- 1、最可能的诊断是2、下列首选的辅助检查
- 妊娠滋养细胞肿瘤包括A、葡萄胎B、侵蚀性
- 1、选择影像检查方法前,应先了解患者哪些
- 1、为明确诊断,最简便的影像学诊断方法是
- 1、该例最可能的诊断是2、应与该例鉴别的
- 关于卵巢Krukenberg瘤的描述,正