试题详情
- [材料题] 患者男性,47岁,因“左上腹隐痛6个月余”就诊。腹部B超发现脾脏占位。
- 多项选择题1.该患者下一步的最佳诊疗策略是( )
A、经皮穿刺活检
B、直接手术切除
C、CT平扫
D、PET-CT检查
E、定期随访
F、CT动态增强
关注下方微信公众号,搜题查看答案

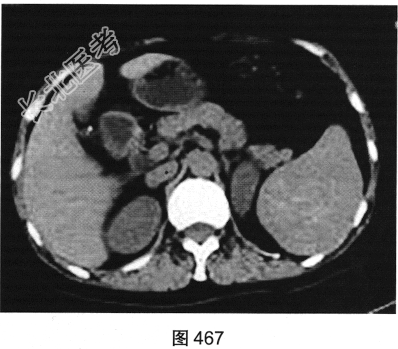
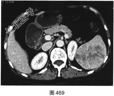
- 多项选择题2.[提示]患者行CT动态增强扫描,如图467~图469所示。对CT图像描述正确的是( )


A、病灶内见条索状钙化灶
B、病灶动脉期无强化
C、CT平扫呈不均匀稍低密度
D、左肾被病灶侵犯
E、病灶门脉期显著强化
F、病灶边界清晰,具有包膜
关注下方微信公众号,搜题查看答案

- 多项选择题3.考虑下列哪些可能性的诊断( )
A、脾脏血管肉瘤
B、脾脏淋巴管瘤
C、脾脏血管瘤
D、脾囊肿
E、脾脏脓肿
F、脾脏淋巴瘤
关注下方微信公众号,搜题查看答案

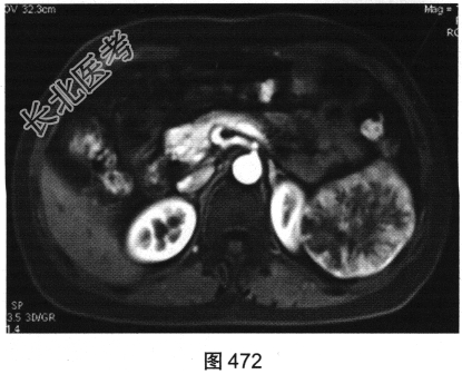
- 多项选择题4.[提示]为进一步明确诊断,患者行MRI检查, 如图470~图473所示。对MRI图像描述正确的是( )



A、T1WI呈不均匀稍低信号
B、左肾被病灶侵犯
C、病灶内见树枝状T1WI低信号、T2WI低信号影
D、门脉期可见造影剂进一步持续充填
E、动脉期轻度强化
F、抑脂T2WI呈不均匀稍高信号
关注下方微信公众号,搜题查看答案

- 多项选择题5.MRI具有很高的软组织分辨率,关于病灶组织成分构成分析正确的是( )
A、囊变
B、出血
C、坏死
D、钙化
E、包膜
F、纤维
关注下方微信公众号,搜题查看答案

- 多项选择题6.考虑患者为下列哪种疾病( )
A、脾囊肿
B、脾脓肿
C、脾血管瘤
D、脾淋巴瘤
E、脾纤维肉瘤
F、脾血管肉瘤
关注下方微信公众号,搜题查看答案

- 多项选择题7.关于该疾病的临床病理特征描述正确的是( )
A、钙化常见
B、大部分患者无症状
C、男性多于女性
D、是脾脏最常见的良性肿瘤
E、少数患者可出现脾破裂
F、纤维瘢痕常见
G、发病年龄为20~50岁
关注下方微信公众号,搜题查看答案

热门试题
- 关于肝细胞癌的MRI表现,正确的是A、T
- 胃肠道异常的基本X线表现包括A、胃肠道轮
- 1、最简捷有效的X线检查是A、腹部仰卧前
- 慢性肝血吸虫病CT检查的主要表现为(
- 关于胆管细胞癌的说法,正确的是A、起源于
- 1、该患者可能诊断为2、入院后影像学检查
- 在梗阻性黄疸的鉴别中,有价值的影像表现是
- 下述溃疡性结肠炎晚期表现,正确的是 (
- 下列有关早期胃癌的分型中,正确的有
- 关于獭尾肝的描述哪些正确 ( )A、肝左
- 以下哪些是增殖型肠结核的X线表现 ( )
- 溃疡型肠结核的X线表现有 ( )A、肠管
- 关于胰腺黏液性囊腺瘤,正确的描述是(
- 慢性胆囊炎的CT表现为 ( )A、容易穿
- 盲肠扭转的X线表现为 ( )A、充气扩张
- 原发性布加综合征的病因有( )A、外
- 下列关于脾包膜下血肿的说法,哪些是正确的
- 急性腹膜炎的X线表现有 ( )A、小肠、
- 与胰腺毗邻关系密切的大血管有哪些 ( )
- 胆囊癌的特点包括A、胆囊壁呈局限性或弥漫