试题详情
- [材料题] 患者女性,38岁,咳嗽、咳白痰10个月,伴活动后喘憋,无发热、盗汗、咯血、胸痛、胸闷、腹泻、腹胀等。胸部X线片如图296、图297所示。


- 多项选择题1.从患者的胸部X线片中可见哪些阳性征象( )
A、双肺纹理增粗
B、右肺尖高密度结节
C、右肺下野高密度斑片影
D、双侧肋膈角钝
E、双肺门增大
F、右肺下野囊状透亮影
关注下方微信公众号,搜题查看答案

- 多项选择题2.为进一步明确诊断,应优先选择哪项检查( )
A、胸部高分辨率CT(HRCT)
B、超声心动图
C、纤维支气管镜检查
D、肺功能检查
E、胸部MRI检查
F、V/Q显像
关注下方微信公众号,搜题查看答案

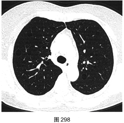
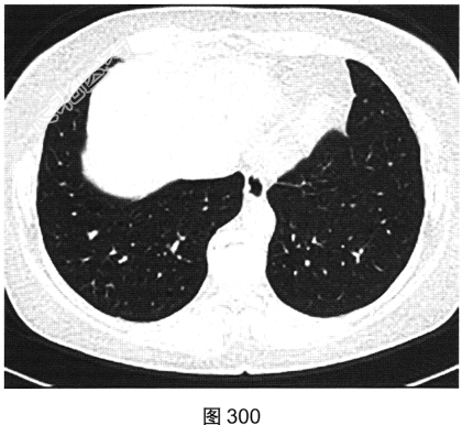
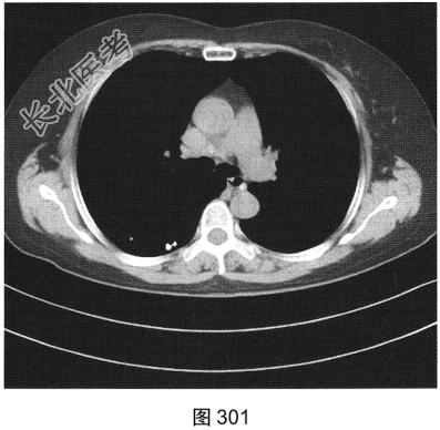
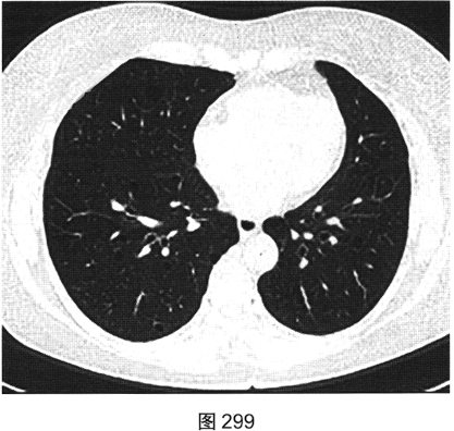
- 多项选择题3.[提示]HRCT图像如图298~图301所示。从患者的HRCT图像中可见哪些阳性征象( )



A、双侧腋窝及纵隔内多发增大淋巴结
B、双肺多发薄壁透亮影
C、小叶间隔增厚
D、右肺多发钙化结节灶
E、双肺多发磨玻璃样密度影
F、支气管扩张
关注下方微信公众号,搜题查看答案

- 多项选择题4.[提示]患者免疫筛查:ANA、RA及干燥综合征相关抗体谱、ACE(一)。根据患者免疫筛查结果, 结合其临床表现和CT影像特征,应优先考虑的诊断是( )
A、肺朗格罕细胞组织细胞增生症
B、支气管扩张
C、淋巴细胞性间质性肺炎
D、肺淋巴管平滑肌瘤病
E、特发性肺间质纤维化
F、肺气肿
关注下方微信公众号,搜题查看答案

热门试题
- 类风湿性关节炎伴肺部受累表现为A、常见于
- 肺结核病的主要诊断依据 ( )A、临床症
- 1、你认为最可能的诊断是2、进一步检查首
- 可能导致气胸的原因是A、胸部手术B、胸部
- 下列肺挫伤的诊断要点,正确的是A、胸痛、
- MRI检查对于肺癌的诊断意义有A、易于发
- 胸片上,肺内网状、蜂窝状阴影可见于 (
- 肺肾综合征的X线表现为 ( )A、多发结
- 1、分析上述病例,最可能的诊断是(
- 支原体肺炎需与下述哪种病变鉴别 ( )A
- 1、该患者应进行的检查有( )。A、
- 关于胸腹裂孔疝的说法,正确的是A、大多数
- 1、最可能的诊断是2、一般来说,该病的好
- 下述哪些原因属毛细血管内静水压升高引起的
- 大量气胸X线胸片可见A、患侧膈下降B、患
- 1、该患者首先考虑诊断为2、进一步检查应
- 胸片上,空洞可见于下列哪些疾病 (
- 石棉肺的胸膜改变有 ( )A、胸膜斑形成
- 肺脓肿的可能病因包括A、上呼吸道感染的脓
- 在诊断中心型肺癌方面,MRI表现有