试题详情
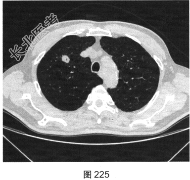
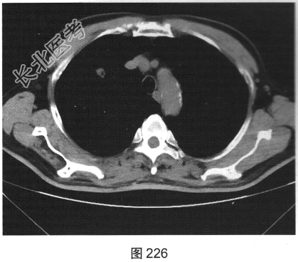
- [材料题] 患者女性,70岁。因“咳嗽、痰中带血3个月余”就诊。听诊无异常发现。胸部正侧位片发现右肺上叶类圆形小结节。
- 多项选择题1.为明确病情,患者应优先选择以下哪些常规检查( )
A、纤维支气管镜检查
B、经皮穿刺肺活检
C、胸部MRI检查
D、PET-CT检查
E、痰培养
F、胸部CT扫描
关注下方微信公众号,搜题查看答案

- 多项选择题2.[提示]患者行胸部CT检查,如图225、图226所示。该患者CT图像可见的阳性表现为( )


A、软组织密度结节
B、支气管充气征
C、毛刺征
D、空泡征
E、分叶征
F、棘状突起
关注下方微信公众号,搜题查看答案

- 多项选择题3.该患者最有可能的诊断是( )
A、周围型肺癌
B、结核球
C、中央型肺癌
D、肺炎性假瘤
E、慢性纤维空洞型肺结核
F、肺隔离症
关注下方微信公众号,搜题查看答案

- 多项选择题4.为进一步明确结节的性质,最有价值的检查是( )
A、纤维支气管镜检查
B、超声检查
C、PET/CT检查
D、CT引导下经皮穿刺活检
E、胸部高分辨率CT检查
F、胸部MRI增强检查
关注下方微信公众号,搜题查看答案

热门试题
- 支原体肺炎需与下述哪种病变鉴别 ( )A
- 1、最可能的诊断是A、肺脓肿B、肺癌C、
- 关于肺放射损伤,下述观点哪些不对 (
- 石棉肺的胸膜改变有 ( )A、胸膜斑形成
- 下列哪些征象与纵隔淋巴瘤相关,并可由MR
- 肺类风湿病的实验室检查多见A、血沉减慢B
- 下列哪种病变MRIT1WI可呈高信号A、
- 1、则以下最可能的诊断为A、周围型肺癌B
- 流行性出血热影像学的病理基础为 (
- 1、你认为患者应该首先做哪些检查2、透视
- 支气管囊肿的囊壁可以含有哪些成份 ( )
- 心包上隐窝的CT表现包括A、紧贴主动脉后
- 下列疾病常有胸腔积液征象的是A、系统性硬
- 纵隔淋巴瘤最常累及的部位为A、前纵隔B、
- 自发性纵隔气肿可见于 ( )A、婴儿呼吸
- 以下关于膈肌肿瘤的特点,叙述正确的是(
- 1、本病例最有可能是哪项诊断2、本病例哪
- CT薄层扫描示右主支气管内壁结节样软组织
- 胸部侧位片,纵隔的划分包括A、前纵隔B、
- 关于乳房MRI成像技术,正确的有(