试题详情
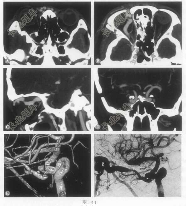
[材料题] 患者男性,36岁,右眼球突出、疼痛半月余,自觉视力轻度减退;曾有头部外伤史。右侧眼球突出,球结膜充血,眼球听诊可闻及搏动性杂音。
多项选择题1.此患者的CTA及DSA影像学(图1-4-1)表现包括:   

A、右侧眼球突出

B、右侧海绵窦增宽

C、右侧眼上静脉曲张

D、右侧鼻部、颧颞部浅静脉曲张

E、CTA及DSA显示海绵窦与颈内动脉之间形成瘘口

  • 关注下方微信公众号,搜题查看答案

多项选择题2.该患者最可能的诊断是:

A、眶内脑膜瘤

B、眶内血管瘤

C、眶内动脉瘤

D、海绵窦炎

E、颈动脉海绵窦瘘

  • 关注下方微信公众号,搜题查看答案

多项选择题3.该疾病诊断最佳的检查是:

A、MRI

B、MRA

C、PET-CT

D、DSA

E、ECT

  • 关注下方微信公众号,搜题查看答案

多项选择题4.目前治疗外伤性颈动脉海绵窦瘘的主要方法是:

A、血管内球囊闭塞

B、血管内支架治疗

C、血管内弹簧栓闭塞

D、直接手术闭塞瘘口

E、颈动脉结扎

  • 关注下方微信公众号,搜题查看答案

多项选择题5.此疾病除了外伤可以引起,亦可见于自发性,其自发性的常见病因有:

A、动脉硬化

B、动脉壁薄弱

C、颈内动脉海绵窦段分支动脉瘤

D、硬膜动静脉畸形

E、动脉炎

  • 关注下方微信公众号,搜题查看答案

热门试题