试题详情
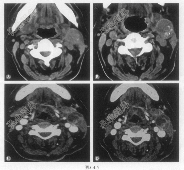
[材料题] 患者男性,68岁,左侧颈部无痛性肿物半年(图5-4-5)。
多项选择题1.关于该疾病的描述:

A、病变位于左侧颈部Ⅱ区

B、病变边界不清,内部可见低密度坏死及不规则壁的钙化

C、病变可见不均匀强化

D、病变与左侧颈动脉界线清晰

E、病变与左侧胸锁乳突肌分界不清

  • 关注下方微信公众号,搜题查看答案

多项选择题2.关于该病的诊断:

A、淋巴结结核

B、淋巴结转移

C、淋巴瘤

D、颈动脉体瘤

E、淋巴结炎

  • 关注下方微信公众号,搜题查看答案

多项选择题3.关于Ⅱ区淋巴结转移最常见的原发病变:

A、鼻咽癌

B、喉癌

C、下咽癌

D、肺癌

E、乳腺癌

  • 关注下方微信公众号,搜题查看答案

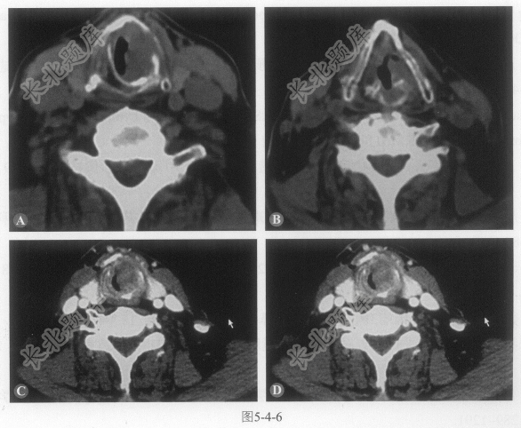
多项选择题4.该病还有图5-4-6,该病诊断为:   

A、声门下区喉癌伴左侧Ⅱ区淋巴结转移

B、声门区喉癌伴左侧Ⅱ区淋巴结转移

C、声门上区喉癌伴左侧Ⅱ区淋巴结转移

D、跨声门区喉癌伴左侧Ⅱ区淋巴结转移

E、下咽癌伴左侧Ⅱ区淋巴结转移

  • 关注下方微信公众号,搜题查看答案

热门试题