试题详情
- [材料题] 患者女性,21岁,主因“发现左颈肿物3个月”来诊。查体:神清,精神可,甲状腺左叶结节,质稍硬,可随吞咽动作而移动。左颈可触及多个质硬结节。
- 多项选择题1.该患者影像学检查常用的方法有哪些:
A、超声
B、CT
C、MRI
D、PET-CT
E、核医学检查
关注下方微信公众号,搜题查看答案

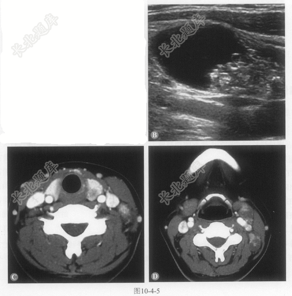
- 多项选择题2.该患者进行了超声及CT检查(图10-4-5,彩图10-4-5A),超声提示甲状腺左叶低回声为主肿物,形态不规则,回声不均匀,内可探及多个微小强回声光点及丰富血流信号,颈部可见低回声结节,内可见无回声区,CT可见甲状腺左叶边缘模糊结节,密度不均匀,颈部可见多发肿大淋巴结,明显强化,该病可能的诊断为:

A、结节性甲状腺肿伴左侧颈部Ⅱ及Ⅲ区淋巴结反应性增生
B、甲状腺腺瘤左侧颈部Ⅱ及Ⅲ区淋巴结反应性增生
C、化脓性甲状腺炎伴左侧颈部Ⅱ及Ⅲ区淋巴结炎症
D、甲状腺乳头状癌伴左侧颈部Ⅱ及Ⅲ区淋巴结转移
E、甲状腺淋巴瘤伴左侧颈部Ⅱ及Ⅲ区淋巴结受侵
关注下方微信公众号,搜题查看答案

- 多项选择题3.该患者诊断为甲状腺乳头状癌伴颈部淋巴结转移,正确的治疗方案为:
A、放射治疗
B、化疗
C、内分泌治疗
D、手术治疗
E、生物治疗
关注下方微信公众号,搜题查看答案

- 多项选择题4.关于甲状腺乳头状癌淋巴结转移的特点,以下说法正确的是:
A、强化明显,密度与正常甲状腺或甲状腺肿瘤相仿
B、不规则环形强化伴中央不规则低密度影
C、可见细颗粒状钙化
D、可伴有气管食管沟或上纵隔淋巴结肿大
E、淋巴结囊性变及壁内明显强化的乳头状结节
关注下方微信公众号,搜题查看答案

热门试题
- 颌下腺骑跨下颌舌骨肌腱弓,下方位于颌下三
- 卵黄囊在超声诊断学上的意义是: ①卵
- 1、患者的影像学表现包括:2、本例影像学
- 恶性肿瘤向肺内转移,最易出现的X线表现有
- 在脊柱退行性骨关节病中,椎体边缘增生不易
- X线呈矢状方向从患者的后方垂直射入胶片时
- 食管狭窄金属支架成形术不适宜A、食管癌晚
- 股骨头假体植入后的正常放射性核素骨显像有
- 在脑血管病介入手术过程中,出现血管痉挛、
- 以下哪项是脊髓空洞症的首选检查方法(
- 关于Chiari畸形,描述正确的是(
- 超声图像的后处理功能,不包括以下哪项A、
- 成骨肉瘤好发于( )A、0~10岁B
- 喉部最常见的良性肿瘤是:A、纤维瘤B、血
- 不引起纵隔移位的是( )A、阻塞性肺
- 下列技术中,不是CT扫描中常用的影像放大
- 旋进的质子处于哪种状态时才产生回波A、相
- 一次冲击性TAI包括哪些方面( )A
- 肝门部的三结构是:( )A、肝动脉、
- 多发性硬化的病理改变为( )A、炎性