试题详情
- [材料题]

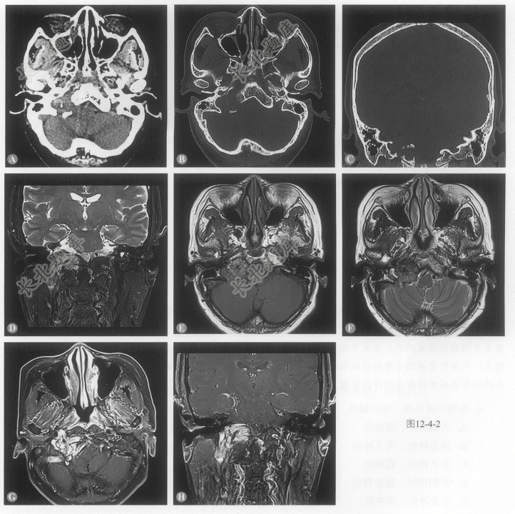
- 多项选择题1.患者的影像学表现包括:
A、病变主体呈不规则形T
WI略高信号,T2WI略高信号影B、病变内见多发点条状血管流空信号影
C、增强呈明显不均匀强化
D、右侧颈静脉孔、舌下神经管受累
E、病变邻近骨质呈虫噬状侵蚀、破坏
关注下方微信公众号,搜题查看答案

- 多项选择题2.颈静脉孔:
A、由颞骨岩部和枕骨颈静脉突围成
B、分为前内侧神经部、后外侧血管部
C、血管部走行颈内静脉
D、神经部内走行舌咽神经、迷走神经及副神经
E、以上都是
关注下方微信公众号,搜题查看答案

- 多项选择题3.本例影像学表现的最可能的诊断:
A、副神经节瘤
B、神经鞘瘤
C、转移瘤
D、脑膜瘤
E、内淋巴囊瘤
关注下方微信公众号,搜题查看答案

- 多项选择题4.本例出现声嘶、伸舌偏斜、吞咽困难、饮水呛咳等临床表现,请问可能哪些神经受累:
A、舌咽神经、副神经
B、迷走神经、舌下神经
C、舌下神经、副神经
D、舌咽神经、迷走神经
E、迷走神经、副神经 患者女性,59岁,发作性眩晕1个月余,影像图像如图12-4-3。
关注下方微信公众号,搜题查看答案

热门试题
- CT检查适应证的三级表征是( )A、
- 下列哪项不是脑血流灌注显像介入试验的临床
- 二尖瓣狭窄M型超声的特征性表现是A、左房
- 有关椎间盘变性描述,正确的是( )A
- 常用治疗骨质疏松的药不包括A、钙剂B、维
- 在MRI中表现为低T
- CR的调谐处理参数包括:( )A、调
- 十二指肠降部位于哪几个脊椎的右缘(
- X线自被照体的前面投向后面称为:(
- 在脊柱退行性骨关节病中,椎体边缘增生不易
- CT较易发现以下哪种征象,而区分良、恶性
- 通过肝静脉进行肝脏分叶,下列错误的是A、
- 触诊时,扪及右肋缘下肿块,可能是:(
- 表皮样囊肿最常见的部位是( )A、鞍
- 下列一般不能作为肿瘤显像剂的是A、
- 有一幼儿出现血尿,声像图显示为肾内实质性
- 颈动脉创伤性栓塞多发生在:A、颈内动脉B
- 常表现为慢性腹痛的疾病为A、胆囊结石B、
- 生物组织中T2值约为A、数万毫秒B、数毫
- 男性,25岁。10天前左臀疖肿,前天开始