试题详情
- [材料题]

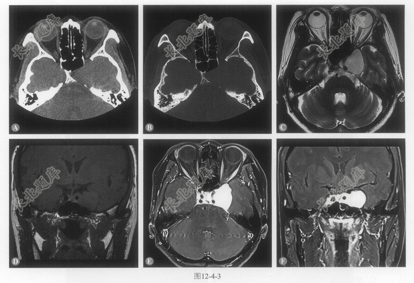
- 多项选择题1.患者的影像学表现包括:
A、左侧鞍旁、鞍内见类圆形T
WI低信号、T2WI高信号影,边界清楚,信号均匀B、无明显占位效应及周围水肿
C、增强呈明显均匀强化,见“脑膜尾征”
D、邻近骨质呈压迫吸收改变
E、病变累及左侧Meckel腔
关注下方微信公众号,搜题查看答案

- 多项选择题2.本例影像学表现的最可能诊断是:
A、侵袭性垂体瘤
B、鞍旁脑膜瘤
C、鞍旁动脉瘤
D、发育性静脉异常
E、海绵状血管瘤
关注下方微信公众号,搜题查看答案

- 多项选择题3.该病可能的临床表现包括:
A、头痛
B、癫痫
C、脑神经功能障碍
D、出血
E、以上都是
关注下方微信公众号,搜题查看答案

- 多项选择题4.本例病变最具有鉴别诊断价值的影像学征象是:
A、T2WI高信号
B、邻近骨质压迫吸收
C、增强扫描明显强化
D、病变累及海绵窦
E、以上都不是
关注下方微信公众号,搜题查看答案

热门试题
- 关于部分容积效应的叙述,错误的是A、CT
- 患者女性,52岁。一周前体检时发现左上肺
- 脑梗死是按什么分布的( )A、脑白质
- 哪些部位的恶性肿瘤均易转移到肺部(
- 下列视网膜母细胞瘤超声表现最有特征性的是
- 胆总管结石在哪一段最容易嵌顿A、十二指肠
- 某男,35岁。反复上腹疼痛8年,进食后可
- 关于间质性肺炎的X线表现,描述错误的是(
- MR影像上常可见到液-液平面的病变是(
- 有关骨髓病变,下列不正确的是( )A
- 穿刺活检术常用的导引设备是A、B超B、C
- 动脉导管未闭最典型的X线征象是( )。
- 结核球的影像学表现( )A、肺内孤立
- 下列MRI检查中,应用了水成像技术的是(
- 腕部尺偏位,主要用于检查的是下列哪项(
- 进行肾动态显像常用显像剂不包括以下哪一项
- 胰腺颈部可见下列结构会合A、脾静脉、肾静
- 男,18岁,CT扫描发现脊柱旁软组织肿块
- 与周围型肺癌相比,球形肺炎影像特征为(
- 亲心肌梗死显像的临床应用( )A、急