试题详情
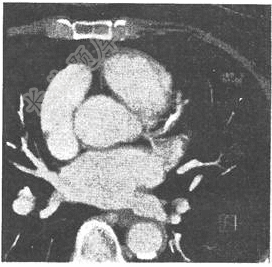
- 单项选择题患者,男,58岁,胸骨后阵发性疼痛半年余,透视见心影稍大,CT片如图,最可能的诊断是( )。

A、慢性肺源性心脏病
B、缩窄性心包炎
C、高血压性心脏病
D、冠状动脉粥样硬化性心脏病
E、风湿性心脏病二尖瓣狭窄
关注下方微信公众号,搜题查看答案

热门试题
- 下列抗肿瘤药物,哪项不是"细胞周期特异性
- 图中为胰周围组织声像图,在腹主动脉前方显
- 关于肺脓肿,下列描述哪项不对( )A
- 1、选用何种核医学检查来对患者进行辅助诊
- 胎儿循环的遗迹是A、肝十二指肠韧带B、小
- 关于造影剂的使用,下列哪项是错误的(
- 关于骨髓瘤的分型,下列哪些正确( )
- 甲状腺癌的声像图特点是A、内部血供丰富,
- 关于肺泡蛋白沉着症的有关叙述中错误的是(
- 血管内药物灌注术理论依据及适应证的描述中
- 常规CT扫描采取俯卧位的是( )A、
- 下列选项不是骨显像对骨转移性病变诊断优点
- 肝癌除癌灶超声表现外,最常见的继发声像图
- 关于三尖瓣闭锁,不正确的为A、伴有房间隔
- 椎体骨折在急性期发生水肿,MR图像上是(
- 心源性水肿的特点正确的一项是A、从眼睑面
- 常规诊断剂量的Gd-DTPA,图像上所反
- 脐带内血管结构包括A、1条脐动脉,1条脐
- 第一个系统阐述了介入放射学概念,并形成共
- 下列选项中,门静脉高压的特征性表现是:(