试题详情
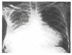
- 单项选择题患者,女,26岁,端坐呼吸、乏力、腹胀,心音遥远,胸部正侧位摄片示心影增大如图,最可能的诊断是( )。

A、心包积液
B、缩窄性心包炎
C、扩张性心肌病
D、肥厚性心肌病
E、风湿性心脏病二尖瓣狭窄
关注下方微信公众号,搜题查看答案

热门试题
- 关于"多发性硬化"的影像表现,哪项不对(
- 导管鞘的主要目的是( )A、建立通道
- 动脉药物灌注术中,选择化疗药物时,下列叙
- 均匀性脂肪肝的超声表现为:( )A、
- 下列说法正确的是( )A、介入放射学
- 椎管狭窄的MRI表现中,哪项说法正确(
- 基底节不包括( )A、尾状核B、豆状
- 显示下列结构MR最好,但哪项除外(
- 下丘脑属于( )A、端脑B、间脑C、
- 透视检查的基础是利用X线的是A、荧光作用
- 镰状韧带的肝外部分:( )A、走行于
- 下列哪项是Krukenberg瘤的本质?
- 胼胝体肿瘤特有的征象是( )A、靶征
- 增感屏保护层的作用是( )A、有助于
- 下列选项中,不属于卵巢非赘生性囊肿的是A
- CT扫描的优点包括 ( )A、
- 关于脑脓肿的描述,错误的是 (
- 关于下咽部常用影像学检查方法,错误的是:
- 一位女病人流产后半年,近来阴道不规则出血
- 下列超声探测前列腺方法中图像最佳的是A、