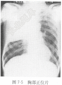
试题详情单项选择题男性,60岁,高热伴呼吸困难2天,X线影像见图7-5,X线诊断为( )。A、右上肺癌B、右上肺炎C、右上包裹胸腔积液D、右上肺结核正确答案:关注下方微信公众号,搜题查看答案热门试题剩余碱(BE)题见图6-4。 正常心电图检查气胸正常胸部正位片题见图6-11。CT检查血清尿酸(UA)测定题见图6-2。 硬膜下血肿血常规血浆纤维蛋白原(FG)泌尿系结石脑出血血清氢参考值血清总钙阵发性室上性心动过速原发性肝癌肝囊肿二氧化碳结合力(CO2CP)