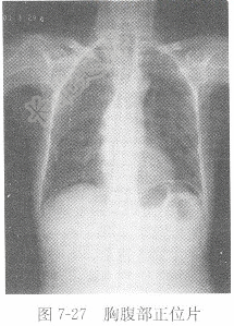
试题详情单项选择题男性,50岁,上腹痛10h,腹部平片见图7-27,X线诊断为( )。A、消化道穿孔B、肺炎C、正常胸片D、气胸正确答案:关注下方微信公众号,搜题查看答案热门试题葡萄糖耐量试验心脏大动脉血氧分压(PaO2)窦性心动过速检查骨髓常规检查血清钠参考值血、尿淀粉酶(AMS)粪常规胃、十二指肠溃疡肺炎血浆凝血酶原时间(PT)肌酸激酶(CK)癌胚抗原(CEA)CT检查X线片男性,56岁,上腹痛半年,胃肠道造影图像男性,73岁,痰中带血2周,X线影像见图二氧化碳结合力(CO2CP)肠结核血清碱性磷酸酶(ALP)