试题详情
- [材料题] 患者男性,50岁,发现脾大2个月,脾大平脐。既往有疟疾病史。查血常规:Hb 131g/L,WBC 7.92×10⁹/L,PLT 52×10⁹/L。近期出现低热,多出现在下午,最高37.6℃。
- 简答题1、根据患者血象及临床特征,考虑的诊断有?
关注下方微信公众号,搜题查看答案

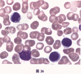
- 简答题2、【提示】进一步检查血细胞分类形态,提示外周血淋巴细胞比例78%,多数为小一中淋巴细胞,部分有细胞的毛刺样突起,染色质比正常淋巴细胞略疏松,浆灰蓝或深蓝色,有的有泡沫感(图26)。患者的诊断可能是?

关注下方微信公众号,搜题查看答案

- 简答题3、【提示】患者骨髓细胞形态学:淋巴细胞比例、形态与外周血基本相似,骨髓活检显示小淋巴细胞呈结节状或弥漫性大片增生,细胞质略丰富,之间相连形成似陷窝样结构。免疫表型:淋巴细胞增高,表达CD20、CD22、CD11c、CD103、CD25、CD123、FMN7,不表达CD3、CD5、CD10。请问该患者的诊断是?
关注下方微信公众号,搜题查看答案

- 简答题4、患者被确诊为毛细胞白血病,该类疾病血液分析仪散点图的特点为?
关注下方微信公众号,搜题查看答案

热门试题
- 1、生物素-亲和素免疫测定技术的基本原理
- 1、本病最可能的诊断是什么?2、确诊本病
- 1、在对上述患者的血液标本进行采集时,需
- 1、该患者可能诊断及依据为什么?2、与之
- 1、根据大体和镜下检查所见,对本病例应做
- 1、患者脑脊液有核细胞计数与参考值相比说
- 1、根据患者的临床表现和实验室检查结果,
- 1、根据上述实验室检查结果,是否可以认为
- 1、若胸腔积液黄色,蛋白质/血清蛋白质为
- 1、根据上述案例,张先生的凝血功能检查结
- 1、考虑诊断最可能为什么?2、为明确诊断
- 1、根据患者的情况,为什么需要紧急输血?
- 1、根据上述病史及实验室检查结果,你认为
- 1、浆膜腔积液的产生机制是什么?2、在该
- 1、该患者可能诊断为什么?2、依据是什么
- 1、诊断标准及抗体有哪些?2、患者应如何
- 1、根据病历,感染的病原菌最可能是什么?
- 1、为什么在睾丸癌的初步诊断中,医生会建
- 1、细胞遗传学分析在感染性疾病中的应用价
- 1、正常人中性粒细胞占白细胞分类的比例为