试题详情
- [材料题] 病史
患者女性,25岁,因气短、咳嗽、胸痛6h就诊。6h前患者步行上班时突发胸痛,为右侧胸部锐痛,疼痛随呼吸加重;随后的几个小时内胸痛缓解,但深呼吸时仍有轻度疼痛;疼痛后1~2h患者有轻微气短,目前仅在上楼及快步行走时觉气短,另诉有干咳。4年前发生过类似的情况,但患者不太确定那次胸痛位置是否在左侧。吸烟15支/天,饮酒10个酒精单位/周。偶吸大麻。无其他用药史。职业为会计师。无相关家族史。
体格检查
脉搏:88/min;呼吸:20/min;血压:128/78mmHg。精神可,无发绀。心音正常。呼吸系统查体:气管和心尖搏动无移位;呼吸动度和叩诊大致正常;右侧触觉语颤减弱,呼吸音降低;右下肋膈角可闻及胸膜摩擦音;听诊未闻及其他附加音。
辅助检查
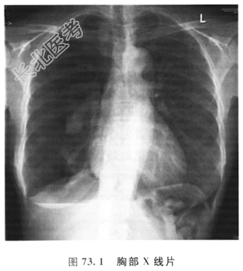
患者的胸部X线检查结果如图73.1所示

- 简答题1、患者的X线检查结果说明什么问题?
关注下方微信公众号,搜题查看答案

- 简答题2、应如何处理?
关注下方微信公众号,搜题查看答案

热门试题
- 1、该患者的诊断是什么?2、该患者的诊断
- 1、患者诊断及诊断依据为?2、需要诊断的
- 1、患者诊断及诊断依据为?2、需要鉴别的
- 1、该患者的诊断是什么?2、HCC术后复
- 1、该患者初步诊断及诊断依据?2、还需要
- 1、该患者的诊断是什么?2、诊断依据有哪
- 1、该患者初步诊断为?2、诊断依据是什么
- 1、该患者初步诊断为?2、诊断依据是什么
- 1、该患者的诊断是什么?2、该患者的诊断
- 1、该患者的诊断及诊断依据是什么?2、该
- 1、初步诊断及诊断依据。2、需与哪些主要
- 1、该患者的诊断及诊断依据是什么?2、为
- 1、该患者的诊断及诊断依据为?2、该患者
- 1、该患者的诊断及诊断依据是什么?2、该
- 1、诊断依据为?2、处理方案及理由?
- 1、该患者的诊断是什么?2、诊断依据有哪
- 1、该患者的诊断是什么?2、诊断依据为?
- 1、患者诊断及诊断依据为?2、需要鉴别诊
- 1、初步诊断及诊断依据。2、需与哪些疾病
- 1、患者最可能的诊断及诊断依据是什么?2