试题详情
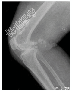
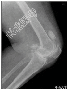
- [材料题] 患者女,55岁,双膝隐痛十余年。查体:双膝压痛,局部软组织肿胀,触之硬物感。行双膝关节正侧位片检查。

- 简答题1、患者的诊断及依据是什么?
关注下方微信公众号,搜题查看答案

- 简答题2、鉴别诊断是什么?
关注下方微信公众号,搜题查看答案

热门试题
- 1、患者的影像诊断是什么?2、患者的诊断
- 1、诊断及依据是什么?2、鉴别诊断有哪些
- 1、患者的诊断及依据是什么?2、鉴别诊断
- 1、诊断要点是什么?2、鉴别诊断是什么?
- 1、纵隔气肿的典型影像学表现有哪些?2、
- 1、患者的诊断及依据是什么?2、鉴别诊断
- 1、本例最可能的诊断为?2、子宫腺肌症M
- 1、尤文瘤的鉴别诊断有哪些?2、尤文瘤的
- 1、诊断要点是什么?2、鉴别诊断是什么?
- 1、诊断要点是什么?2、鉴别诊断是什么?
- 1、患者的诊断及依据是什么?2、其影像学
- 1、请简述该病例的诊断要点是什么?2、鉴
- 1、患者的诊断及依据是什么?2、经皮椎间
- 1、请问首选检查方法为?2、如果腹部CT
- 1、患者的鉴别诊断有哪些?2、类风湿关节
- 1、患者的诊断及依据是什么?2、患者的相
- 1、患者的诊断及依据是什么?2、鉴别诊断
- 1、室管膜下瘤的影像学诊断有哪些?2、室
- 1、患者的诊断及依据是什么?2、鉴别诊断
- 1、诊断及依据是什么?2、鉴别诊断有哪些