试题详情
- [材料题]
【一般资料】男性,50岁,农民。
【主诉】胸痛不适2天。
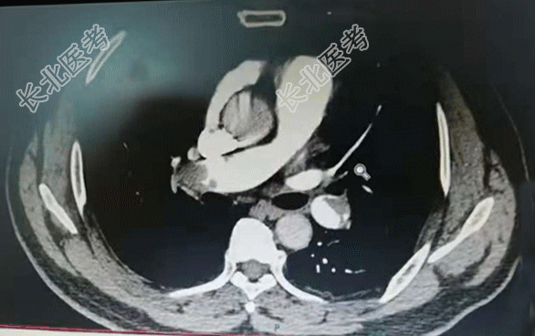
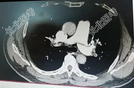
【现病史】2天前,患者无明显诱因出现右侧胸痛不适感,伴呼吸费力。当时无咳嗽、咳痰、发热等症状。以为是劳累导致的症状,经休息后症状缓解不明显,今晨起疼痛症状加重,家属拨打120急救送入我院,急诊科查指脉氧98%,行肺部CTA检查时指脉氧降至92%,肺部CTA显示:肺栓塞。诊断为:肺栓塞。发病以来饮食、睡眠差、小便正常,大便未解,体重无明显变化。
【既往史】既往体健。
【查体】T:36.5℃,P:76次/分,R:20次/分,BP:130/80/mmHg。发育正常,营养中等,神志清,步入病房,自动体位,查体合作,全身皮肤黏膜无黄染及出血点,浅表淋巴结未触及肿大,头颅五官对称,眉毛无脱落,眼睑无水肿,眼球活动自如,结膜正常,巩膜无黄染,双侧瞳孔等大等圆,直径约3mm,对光反射存在,耳鼻对称无畸形,未见异常分泌物,唇无发绀,咽无充血,扁桃腺不大,颈软,气管居中,甲状腺不大,胸廓对称无畸形,双肺呼吸音粗,双肺未闻及干湿性啰音。心前区无隆起,心尖搏动在左锁骨中线第5肋间外侧约2cm,叩诊心界无扩大,心率76次/分,律齐,各瓣膜听诊区未闻及病理性杂音。腹平软,全服无压痛反跳痛,肝脾肋下未触及,肠鸣音正常。脊柱四肢无畸形,各关节活动正常,双下肢无水肿。生理反射存在,病历反射阴性。
【辅助检查】肺部CTA显示:肺栓塞。心电图:标3、Avf、V₄-V₆导联T波改变。
- 简答题1、患者的诊断及依据是什么?
关注下方微信公众号,搜题查看答案

- 简答题2、鉴别诊断有哪些?
关注下方微信公众号,搜题查看答案

- 简答题3、如何治疗?
关注下方微信公众号,搜题查看答案

热门试题
- 1、当前该患者的处理方案及理由是什么?2
- 1、根据患者的主诉,应首先进行检查什么?
- 1、该病例有哪些临床特点?2、该患者昏迷
- 1、患者存在的电解质紊乱是什么?2、提示
- 1、晕厥的分类有哪些?2、该患者的诊断及
- 1、该患者的诊断是什么?2、诊断依据有哪
- 1、患者的诊断及依据是什么?2、该患者的
- 1、该患者的诊断可能是什么?2、为明确诊
- 1、为明确诊断,应给患者做的实验室检查有
- 1、怀疑该患者为主动脉夹层的依据是什么?
- 1、患者的诊断及依据是什么?2、鉴别诊断
- 1、该患者病情属于什么?2、最有效的、最
- 1、为明确诊断,急诊最应该进行的检查是什
- 1、为明确诊断,需要补充询问患者哪些临床
- 1、为明确诊断,应紧急检查的项目包括哪些
- 1、若诊断为肠梗阻,诊断依据有哪些?2、
- 1、患者可能的诊断是什么?2、如果为缺血
- 1、该患者的诊断是什么?2、诊断依据有哪
- 1、患者的诊断及依据是什么?2、该患者的
- 1、首先应考虑的诊断是什么?2、提示