试题详情
- [材料题] 患者,男性,53岁。6个月前,自觉右下后牙区咬合时疼痛不适,牙床内偶尔流出酸臭味的血红色液体。该处牙龈长出一“黄豆粒”大小的小包,舌舔无疼痛,小包几天后消失,随即出现外生性肿物,自觉表面粗糙,自发现以来肿物无明显增大,无疼痛。口内可见右下后牙区牙龈一外生型肿物,呈菜花样,向外至前庭沟,向内至颌舌沟,向后至47近中,颊侧向前至44远中,舌侧向前至43远中,边界欠清,质韧,无蒂,颊侧及牙槽嵴侧触压痛,舌侧无明显触痛,44牙根位于病变内,45、46牙缺失,下唇无麻木,舌体无麻木。
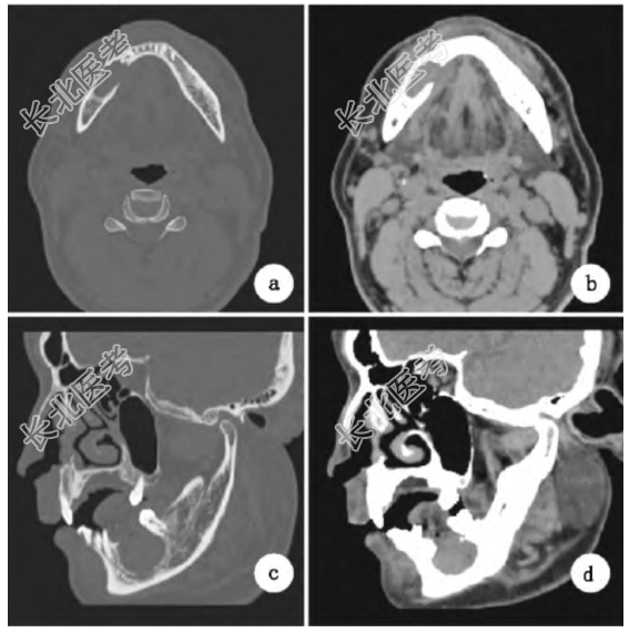
影像学检查:(1)曲面断层示右下颌体后部可见类圆形骨质密度减低影,边界清楚,边缘光滑,大小约3.0cm×2.0cm,牙槽嵴侧骨质局部缺失,向下累及右下颌管上壁,44牙根位于病变内,45、46缺失。(2)螺旋CT层扫(图1)示右下颌体后部病变区域CT值约45Hu,呈软组织密度。
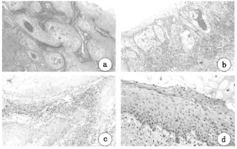
术后病理(图2)骨内可见肿瘤细胞巢及团片(图2a),肿瘤细胞突破骨皮质,累及黏膜,黏膜处肿物呈外生性,上皮呈重度异常增生(图2b),增生的上皮团呈团片状、条索状浸润性生长,可见异常核分裂象,可见角化珠,其内可见大量炎细胞浸润(图2c),部分区域可见纤维结缔组织囊壁、内衬复层鳞状上皮,表面不全角化(图2d)。病理诊断为非特异性原发性骨内癌,多系牙源性角化囊肿恶变。本病例患者术后6个月复诊,未见肿瘤复发。

- 简答题1、牙源性角化囊肿的生物学特性及恶变情况如何?
关注下方微信公众号,搜题查看答案

- 简答题2、牙源性角化囊肿恶变的发病机制是什么?
关注下方微信公众号,搜题查看答案

- 简答题3、牙源性角化囊肿和原发性骨内癌的影像学表现有何不同,继发于牙源性角化囊肿的原发性骨内癌影像学表现如何?
关注下方微信公众号,搜题查看答案

- 简答题4、结合患者影像检查情况,其治疗方法是什么?
关注下方微信公众号,搜题查看答案

- 简答题5、牙源性角化囊肿的预后如何?
关注下方微信公众号,搜题查看答案

热门试题
- 请简要说明有源微创拔牙器械的主要类型及其
- 请简述复发性口腔溃疡(ROU)在中医中的
- 简述影响口腔颌面部肿瘤术后言语功能的主要
- 请简述内窥镜辅助下刮治术的术前准备工作包
- 请简述上颌窦囊肿和囊肿样病变如何影响上颌
- 请简述上颌窦间隔在侧壁开窗上颌窦底提升的
- 请简述内窥镜辅助下囊性病变刮治术相较于传
- 请简述影响数字化口内扫描精度的被扫描对象
- 请简述伴上颌窦囊肿或囊肿样病变的上颌窦底
- 请简要说明黏膜给药中成药临床不合理使用的
- 1、口腔疣状黄瘤(OVX)的发病特点有哪
- 请简述复发性口腔溃疡(ROU)在中医中的
- 请简要说明微创拔牙术后填塞材料的种类及其
- 简述腭咽闭合功能评估的常用方法有哪些?
- 1、该患者嗜酸细胞腺瘤的发病机制是什么?
- 请简述PCL(牙齿近中漂移)的危害?
- 简述构音器官运动训练的具体内容包括哪些?
- 请简述PCL(牙齿近中漂移)的预防措施?
- 请简述数字化口内扫描的扫描轨迹有哪些主要
- 请简述PCL(牙齿近中漂移)的原因及相关