试题详情
- [材料题]
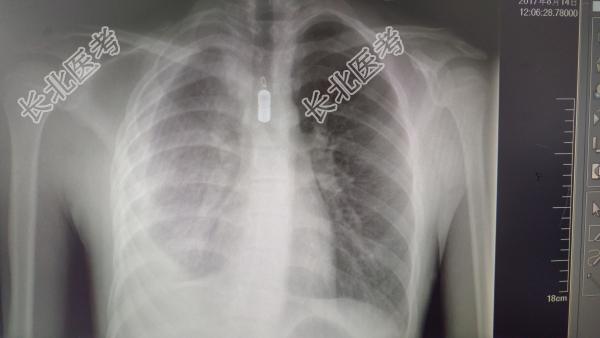
男性,14岁,学生,主诉:发热、腹痛1天。现病史:入院前一天始无诱因出现发热,体温持续在39度,口服退热药物可以维持4小时左右后再次复发,今天晨伴腹痛,口服退热药物(布洛芬)后约5分钟出现呕吐非喷射状态,呕吐物为黄色液体。病来无咳嗽、无腹泻、尿正常,热时有头痛,退后缓解。既往史:半年前诊断为结核性胸膜炎在结核正规治疗中,病情一直稳定。查体:T:38℃,P:110次/分,R:24次/分,BP:100/80/mmHg。发育正常,营养好。全身皮肤粘膜未见黄染及出血点,皮肤凹陷水肿。浅表淋巴结未触及肿大。头颅大小正常,无畸形。头发分布均匀,有光泽。颈软,眼睑无水肿,结膜无充血,巩膜无黄染,双侧瞳孔等大等圆,对光反射及调节反射正常。鼻腔通气可,未见分泌物。耳廓无畸形,外耳道无异常及分泌物。口唇红润,牙龈充血,咽红,双扁桃体无肿大。颈无抵抗,气管居中,甲状腺无肿大,无颈静脉怒张。胸廓对称,无畸形。双肺呼吸音清,右侧呼吸音减弱,偶有干湿啰音,心未见异常。腹部膨隆,上腹部饱满,腹胀,肝脾不大,全腹无压痛及反跳痛,未及包块,肠鸣音活跃。肛门及外生殖器无异常。脊柱四肢无畸形,四肢活动自如,腹壁反射、肱二头肌、肱三头肌、膝腱、跟腱反射正常,病理反射未引出。辅助检查:血常规:WBC6.5X10
/L,N0.55,L0.45;CRP:10g/LMP-AB1:40阴性肝功能、肾功能正常胸片如上超声:肝胆脾胰腺无异常。
- 简答题1、
该患儿初步诊断为?
关注下方微信公众号,搜题查看答案

- 简答题2、
鉴别诊断为?
关注下方微信公众号,搜题查看答案

- 简答题3、
该疾病的治疗方案及依据为?
关注下方微信公众号,搜题查看答案

热门试题
- 1、该患者的诊断与诊断依据是什么? 2
- 1、该患儿最可能的诊断是 2、应与哪些
- 1、判断此患儿风湿热疾病活动性的指标是什
- 1、应紧急检查的项目是 2、经治疗后,
- 1、应重点补充询问的病史包括 2、急诊
- 1、应考虑诊断为? 2、腹腔内有多少游
- 1、该患儿最可能的诊断为什么? 2、为
- 1、该患儿可选用的药物 2、该患儿发病
- 1、患儿主要表现为贫血,可能的诊断是
- 1、该患儿的初步诊断和诊断依据是什么?
- 1、该患者的诊断是什么?诊断依据有哪些?
- 1、该患者的诊断是什么?伤寒诊断依据有哪
- 1、该患者的诊断与诊断依据是什么? 2
- 1、该患者的诊断及诊断依据为? 2、还
- 1、该患者的诊断是什么?诊断依据有哪些?
- 1、该患者的诊断与诊断依据是什么? 2
- 1、患儿需要完善的检查有 2、 患
- 1、根据病史,该患儿的临床表现有哪些
- 1、该患儿可能的诊断是? 2、治疗方案
- 1、患儿入院后需要做的检查项目有 2、