试题详情
- [材料题]
患者男,55岁,因“反复发热,乏力,关节、肌肉疼痛5年,发现皮下结节1年”来诊。伴头晕、头痛、恶心、呕吐。查体:体温38.3℃,双侧大腿外侧触及皮下结节,左、右各1个,约鸡蛋大小,皮色稍红,活动度小,质地韧,皮温稍高,有压痛,无破溃,无感染。
- 简答题1、
为明确诊断应立即进行的检查项目包括
关注下方微信公众号,搜题查看答案

- 简答题2、
提示入院后查血常规:白细胞21.51×10⁹/L,中性粒细胞0.84;红细胞沉降率、C-反应蛋白、免疫球蛋白升高;类风湿因子、抗可提取性核抗原(ENA)抗体谱、抗中性粒细胞胞质抗体、血培养、肿瘤、结核、梅毒、艾滋病相关指标均为阴性。胸部X线片、腹部B型超声均正常。病程中患者突然出现意识不清,查体:颈强直,双侧巴宾斯基征阳性。为明确诊断应进行的检查包括
关注下方微信公众号,搜题查看答案

- 简答题3、
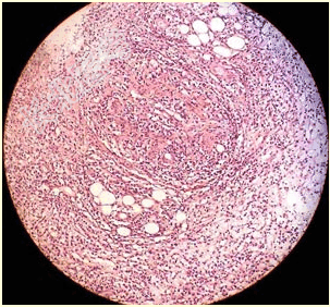
提示患者颅脑MRA无明显异常。脑脊液细菌、生化阴性;巨细胞病毒(CMV)、EB病毒(EBV)、支原体、衣原体阴性;皮下结节活检如图所示。最可能的诊断是

关注下方微信公众号,搜题查看答案

- 简答题4、
该病的鉴别诊断
关注下方微信公众号,搜题查看答案

- 简答题5、
该病的治疗原则
关注下方微信公众号,搜题查看答案

热门试题
- 1、目前考虑的诊断是什么?诊断依据是什么
- 1、最有可能的诊断是? 2、简述该疾病
- 1、该患者最可能的诊断是 2、该病的病
- 1、患者的诊断可能是 2、该病需注意鉴
- 1、患者入院后应常规进行的检查有 2、
- 1、该患者还应做哪些检查 2、结果显示
- 1、目前考虑的诊断是 2、该病的鉴别诊
- 1、最可能的诊断是 2、结节性红斑的常
- 1、该患者可能的诊断是 2、若要明确诊
- 1、最有可能的诊断为 2、该病常常同时
- 1、该病的病因是什么 2、该病临床表现
- 1、该患者最可能的诊断是 2、该病的诊
- 1、该患者的诊断为 2、该病的诊断标准
- 1、该患者最可能的诊断是 2、MCTD
- 1、初步诊断及诊断依据? 2、为明确诊
- 1、初步诊断及诊断依据? 2、为明确诊
- 1、为明确诊断应进行的检查有 2、提示
- 1、患者的诊断可能为 2、该病什么原因
- 1、该患者的诊断首先考虑 2、为明确诊
- 1、该患者的诊断是什么? 2、该病的病