试题详情
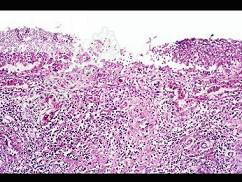
- 多项选择题根据图,关于菌痢的病理改变正确的是 ( )

A、黏膜充血、水肿、中性粒细胞和巨噬细胞浸润
B、黏膜下层、肌层、浆膜层有明显的炎症反应
C、假膜主要为纤维素、坏死的肠黏膜、细菌、嗜中性粒细胞及红细胞等,部分有脱落
D、整个肠黏膜有假膜覆盖,黏膜上皮及腺体大片消失
E、大约一周左右,假膜开始脱落,形成大小不等,形状不一的“地图状”溃疡如图
关注下方微信公众号,搜题查看答案

热门试题
- 关于乙脑的流行病学,下列哪项是错误的
- 关于医院感染抗菌药物的应用,下列哪项不合
- 如图所示,下列关于旋毛虫病的病原学特点的
- G蛋白的特点是A、不能与GTP结合B、只
- 胎儿从母体获得IgG属于( )。A、
- 男性尿道分为( )。A、前列腺部B、
- 下面哪一项不是重型肝炎的临床表现A、严重
- 出入境检验检疫机构负责对出入境人员进行艾
- 免疫标记技术包括下列哪种试验?( )
- 吴某在被所在医疗机构取消处方权后仍旧为患
- 水在生物体内的作用是( )A、水是代
- 周某是甲医疗机构的执业医师,不按照《处方
- 张某注册登记的执业类别是外科医师,张某应
- 授予执业医师麻醉药品和第一类精神药品处方
- 床位不满100张的医疗机构,其《医疗机构
- 左肺( )。A、较右肺窄而长B、较右
- 《国际卫生条例(2005)》主要针对的是
- 甲市某药品经营企业为了使自己经营的药品顺
- 关于革兰染色,叙述错误的是A、革兰阳性菌
- 根据我国传染病防治法及其细则规定,下列疾