试题详情
- [材料题] 患儿,男,6岁,发热、咳嗽3天,加重半天。体温:39.0℃就诊。
- 多项选择题1.为了明确诊断,可选择哪些检验项目()
A、痰培养
B、痰液涂片镜检
C、血液涂片镜检
D、血培养
E、骨髓涂片镜检
F、骨髓培养
关注下方微信公众号,搜题查看答案

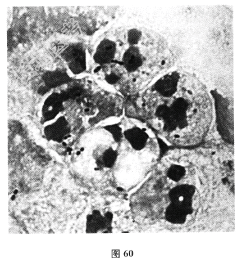
- 多项选择题2.痰涂片结果如图60所示,如何报告结果()

A、检出革兰阳性菌
B、检出革兰阳性球菌,成对排列
C、检出球菌
D、检出葡萄球菌
E、检出肺炎链球菌
F、检出卡他莫拉菌
关注下方微信公众号,搜题查看答案

- 多项选择题3.痰培养分离出肺炎链球菌,下列说法正确的有()
A、青霉素是治疗肺炎链球菌感染的首选药物
B、阿莫西林、大环内酯类、口服二代头孢菌素可以用于治疗青霉素敏感的肺炎链球菌
C、耐青霉素肺炎链球菌往往对大环内酯类、四环素类和磺胺类也耐药
D、针对耐青霉素的肺炎链球菌可选用阿莫西林、喹诺酮类,注射用三代头孢类
E、我国对大环内酯类抗生素耐药的肺炎链球菌的耐药机制是以携带ermB基因为主
F、对氟喹诺酮耐药机制是由于拓扑异构酶活性位点改变所致
关注下方微信公众号,搜题查看答案

- 多项选择题4.分离的肺炎链球药敏结果显示青霉素的MIC为2μg/ml,那么可以选用下面哪种抗生素进行治疗()
A、注射用青霉素
B、注射用阿莫西林
C、口服用青霉素
D、口服用氨苄西林
E、注射用头孢曲松
F、注射用厄他培南
关注下方微信公众号,搜题查看答案

热门试题
- 前列腺液显微镜检查见红细胞增多,可能是A
- 1、根据以上病史,您作为微生物检验人员,
- 1、如何送检伤口标本进行微生物培养()A
- 1、下列哪些情况应怀疑厌氧菌感染()A、
- 1、医生嘱患者送检尿液培养时,应注意()
- 1、以上涂片镜检提示最可能为何种厌氧菌(
- 1、上述病例中的肿瘤除送病理外,还应做哪
- 1、典型的细菌性痢疾可表现为()A、腹痛
- 衣原体与病毒的相同点是 ( )A
- 怀疑vWD,而vWF没有明显减少,应考虑
- 1、高度怀疑中心静脉插管相关性血流感染时
- 1、应用厌氧袋方法进行培养,应选择何种指
- 1、您作为检验人员,涂片及培养显示:革兰
- 1、幽门螺杆菌与哪些疾病关系密切()A、
- 1、您作为临床微生物检验人员,积极配合医
- 1、如果该患者需要送检脑脊液,关于脑脊液
- 1、诊断斑疹伤寒立克次体感染采集的标本是
- 1、最可能的诊断是()A、风疹B、麻疹C
- 1、您作为医务工作者,根据以上病史,可以
- 1、是否可以送检脓性分泌物进行细菌培养(