试题详情
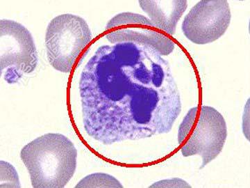
- 单项选择题图所示细胞形态异常改变是 ( )

A、中毒颗粒
B、Peger-Huet畸形
C、空泡
D、Alder-Reillyl畸形
E、杜勒小体
关注下方微信公众号,搜题查看答案

热门试题
- 尿沉渣常规检查时,标本制备离心处理所需相
- ICSH推荐的血小板计数的参考方法为A、
- 关于磺基水杨酸法和加热乙酸法测定尿蛋白,
- 不会引起中性粒细胞增多的是A、脾功能亢进
- 胃酸分泌增多主要见于A、十二指肠溃疡B、
- 在妇科细胞学涂片上,标本满意要求保存良好
- 正常粪便多为 ( )A、绿色B、
- 某患者,女, 29岁,停经40天就诊,
- 血小板计数的稀释液必须具备的条件不包括A
- 肾移植手术后排异反应前期,外周血液绝对值
- 下列哪项不是血液的生理功能A、防御功能B
- 患者女性,45岁。因畏寒、发热、尿频和尿
- 关于精子形态学检查的叙述,正确的是A、须
- 扁平样粪便可见于A、直肠息肉B、结肠紧张
- 关于尿液标本采集容器的要求,错误的是A、
- 血小板聚集试验反映了( )。A、血小
- 麝香草酚用量过多可影响尿液成分检验的是
- 尿液检测前质控包括A、患者的准备B、标本
- 不符合典型的严重感染患者的外周血象的变化
- 采用流式激光散射法,当血液被十二烷基硫酸