试题详情
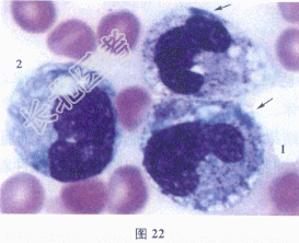
- [材料题] 患者男性,35岁,因“车祸伤,持续发热”就诊。血常规检验结果显示RBC 3.7×1012/L,Hb 112g/L,PLT 135×109/L,WBC 25.8×109/L,分类示:中性分叶核粒细胞70%,中性杆状核15%,晚幼粒3%,中幼粒2%,淋巴细胞5%,单核细胞4%,嗜酸性粒细胞1%。
- 多项选择题1.根据血常规检验结果,可推测
A、发生再生性核左移
B、发生退行性核左移
C、粒细胞有毒性变化
D、粒细胞中出现棒状小体
E、杆状核大于10%,中度核左移
F、出现多分叶核中性粒细胞,发生核右移
关注下方微信公众号,搜题查看答案

- 多项选择题2.如图22,可以见到的中性粒细胞毒性改变是

A、Russell小体
B、杜勒小体
C、棒状小体
D、中毒颗粒
E、细胞大小不均
F、空泡变性
关注下方微信公众号,搜题查看答案

- 多项选择题3.中性粒细胞毒性变化中表现为核质发育不平衡的是
A、空泡
B、杜勒小体
C、棒状小体
D、豪焦小体
E、中毒颗粒
F、退行性变
关注下方微信公众号,搜题查看答案

热门试题
- 关于原发性骨髓纤维化正确的是A、骨髓活检
- 1、患者最可能发生了哪一类型的输血反应A
- 中性粒细胞减少见于A、病毒感染B、链球菌
- 常用抗凝剂的抗凝原理,错误的是A、氟化钠
- 有关浆细胞白血病描述正确的是A、继发性浆
- 1、可初步诊断,患者为A、ITPB、多发
- 患者女,40岁。牙龈出血、皮肤瘀斑, 间
- 1、导致以上检测结果的可能原因有A、先天
- 红细胞的保存期随保存液的不同而不同,下面
- 关于裂红细胞说法正确的是A、由外在机械性
- POX染色在鉴别急性白血病中,判断错误的
- 属于红细胞生成减少的贫血是A、营养性巨幼
- SDS法测定血红蛋白的缺点有A、缺乏参考
- 骨髓增生异常综合征时骨髓活检正确的是A、
- 形成狼疮细胞的必备条件有A、病人血清中存
- 下列哪些凝血因子可被BaSO
- 再生障碍性贫血的发病机制是A、成熟细胞结
- 下列巨幼细胞贫血的说明哪些是对的A、我国
- 红细胞异常结构,下列哪些机制不正确A、卡
- 关于染色质小体的叙述,正确的说法是A、直