试题详情
- [材料题] 患者男性,50岁,发现脾大2个月,脾大平脐。既往有疟疾病史。查血常规:Hb 131g/L,WBC 7.92×109/L,PLT 52×109/L。近期出现低热,多出现在下午,最高37.6℃。
- 多项选择题1.根据患者血象及临床特征,考虑的诊断有
A、急性白血病
B、肝硬化
C、骨髓增殖性肿瘤
D、淋巴瘤
E、脾功能亢进
F、慢性淋巴细胞白血病
关注下方微信公众号,搜题查看答案

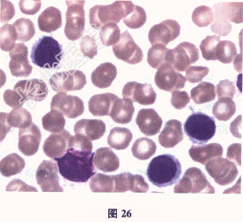
- 多项选择题2.【提示】进一步检查血细胞分类形态,提示外周血淋巴细胞比例78%, 多数为小一中淋巴细胞,部分有细胞的毛刺样突起, 染色质比正常淋巴细胞略疏松,浆灰蓝或深蓝色, 有的有泡沫感(图26)。患者的诊断可能是

A、慢性淋巴细胞白血病
B、骨髓增殖性肿瘤
C、毛细胞白血病
D、肝硬化
E、脾脏边缘区B淋巴细胞白血病
F、成人T淋巴细胞白血病
G、病毒感染
关注下方微信公众号,搜题查看答案

- 多项选择题3.【提示】患者骨髓细胞形态学:淋巴细胞比例、形态与外周血基本相似, 骨髓活检显示小淋巴细胞呈结节状或弥漫性大片增生,细胞质略丰富, 之间相连形成似陷窝样结构。免疫表型:淋巴细胞增高, 表达CD20、CD22、CD11c、CD103、CD25、CD123、FMN7,不表达CD3、CD5、CD10。该患者的诊断是
A、毛细胞白血病
B、成人T淋巴细胞白血病
C、慢性淋巴细胞白血病
D、骨髓增殖性肿瘤
E、病毒感染
F、脾边缘区B淋巴细胞白血病
关注下方微信公众号,搜题查看答案

- 多项选择题4.患者被确诊为毛细胞白血病,该类疾病血液分析仪散点图的特点为
A、嗜酸性粒细胞区域显示细胞减少
B、中性粒细胞细胞群细胞增多
C、单核细胞区域显示细胞增多
D、淋巴细胞群增多,并出现高强度侧向荧光信号的细胞群向上延伸
E、细胞三点基本集中于淋巴细胞核单核细胞区域。形成一个宽大集落无法分类
F、在幼稚细胞群区细胞增多
关注下方微信公众号,搜题查看答案

热门试题
- 男性,28岁, 主诉乏力,并且排酱油色尿
- 对ALL-L₃的白血病细胞形态特点描述无
- 女性,45岁, 诊断为子宫肌瘤,缺铁性贫
- 缺铁性贫血与慢性感染性贫血鉴别要点为A、
- 男性,40岁, 头昏乏力1年。检验:红细
- 下列各种情况NAP积分降低的是A、急性淋
- 以下哪项是判断体内铁储存量最敏感的指标(
- 何项不是ICSH推荐方法A、Hct:微量
- 抑制凝血酶活性最主要的物质为A、抗凝血酶
- 选出纤溶致活因子:A、血浆活化素B、组织
- 1、判断是否贫血,通常依据哪几项参数A、
- 因空腹时间过长,可造成以下检测值减低,
- 以下哪项不是缩血管物质A、血栓烷A2B、
- 早期缺铁性贫血时,可见下列哪组改变(
- 过敏性紫癜的实验室检查对确诊比较有价值的
- 孕妇血中的HCG持续下降,且在妊娠55~
- 纤溶酶原激活物包括A、Ⅻa、K、HMWK
- 1、该患者血型为A、A型,Rh阳性B、A
- 造血干细胞的主要分子标志是A、CD4B、
- 外源性凝血系统的起动因子( )。A、Ⅺ