试题详情
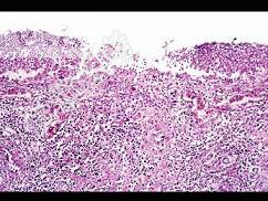
- 多项选择题根据图,关于菌痢的病理改变正确的是 ( )

A、黏膜充血、水肿、中性粒细胞和巨噬细胞浸润
B、黏膜下层、肌层、浆膜层有明显的炎症反应
C、假膜主要为纤维素、坏死的肠黏膜、细菌、嗜中性粒细胞及红细胞等,部分有脱落
D、整个肠黏膜有假膜覆盖,黏膜上皮及腺体大片消失
E、大约一周左右,假膜开始脱落,形成大小不等,形状不一的“地图状”溃疡如图
关注下方微信公众号,搜题查看答案

热门试题
- 下列哪项属于组织的损伤性改变( )A
- 关于医院感染抗菌药物的应用,下列哪项不合
- 下列抗结核药中不属于杀菌药物的是(
- 关于IgE下列哪项错误A、IgE的H链有
- 疫苗批发企业未依照规定建立并保存疫苗销售
- 左肺( )。A、较右肺窄而长B、较右
- 某村发生一起民居垮塌事故,重伤者8人,
- 属于视网膜上的结构有( )A、视神经
- 关于第一类疫苗说法错误的是A、是指政府免
- 有关免疫正确的描述是( )。A、免疫
- 下列具有抗氧化作用的药物是( )A、
- 出入境检验检疫机构负责对出入境人员进行艾
- 会厌软骨的作用是( )。A、阻挡灰尘
- 由公民自费并且自愿受种的其他疫苗A、第一
- 下列可使肾小球滤过率增加的因素是(
- 对白喉的预防正确的是 ( )A、
- 疫苗接种单位的管理说法错误的是A、接种单
- 圆形图是指A、适用于数值变量,连续性资料
- 一种比较持久微弱、具有渲染性的情绪状态是
- 患者,男, 52岁。患乙型肝炎8年,神志