试题详情
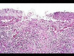
- 多项选择题根据图,关于菌痢的病理改变正确的是 ( )

A、黏膜充血、水肿、中性粒细胞和巨噬细胞浸润
B、粘膜下层、肌层、浆膜层有明显的炎症反应
C、假膜主要为纤维素、坏死的肠粘膜、细菌、嗜中性粒细胞及红细胞等,部分有脱落
D、整个肠粘膜有假膜覆盖,粘膜上皮及腺体大片消失
E、大约一周左右,假膜开始脱落,形成大小不等,形状不一的“地图状”溃疡如图
关注下方微信公众号,搜题查看答案

热门试题
- 关于老年患者医院感染,下列哪项不正确A、
- 医疗机构开展放射治疗的实施要求错误的是A
- 汉坦病毒主要引起的疾病是A、Q热B、恙虫
- 王某等人未经有关部门批准,私设地下血站,
- 我国目前公布的艾滋病感染者最主要的感染途
- 心包摩擦音通常在什么部位听诊最清楚?(
- 教育部所属综合大学的附属医院发现脊髓灰质
- 肺结核初治方案的治疗时间为A、强化期2个
- 3岁儿童人幼儿园时体检发现HBsAg阳性
- 下列能降低血糖水平的激素是( )A、
- 国务院卫生行政部门对可能造成重大社会影响
- 青年李某,右下腹疼痛难忍到医院就诊。经医
- 关于膀胱三角下列描述正确的是( )。
- 中枢神经系统的坏死常为( )A、脂肪
- ATP合成部位在( )A、线粒体外膜
- 下列登革出血热的处理措施哪项不妥当A、休
- 被狂犬咬伤后的发病因素包括( )A
- 乳腺实性癌属于( )A、癌前病变B、
- 合成DNA的原料有( )A、dATP
- 输尿管3个生理性狭窄是( )。A、与