试题详情
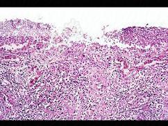
- 多项选择题根据图,关于菌痢的病理改变对的是 ( )

A、整个肠粘膜有假膜覆盖,粘膜上皮及腺体大片消失
B、假膜主要为纤维素、坏死的肠粘膜、细菌、嗜中性粒细胞及红细胞等,部分有脱落
C、粘膜下层、肌层、浆膜层有明显的炎症反应
D、大约一周左右,假膜开始脱落,形成大小不等,形状不一的“地图状”溃疡图
E、黏膜充血、水肿、中性粒细胞和巨噬细胞浸润
关注下方微信公众号,搜题查看答案

热门试题
- 以下有关酶的叙述,正确的是( )A、
- 以下哪些是登革热的典型临床表现 (
- 医疗事故的主体是医疗机构及其医务人员,这
- 患者于某因发热3日到县医院就诊,接诊医师
- "献血冠军"王某,在过去的10年间, 献
- 控制水痘传播的主要措施包括哪些 (
- 学生小王,在2009年10月献血200毫
- 对从事传染病预防、医疗、科研的人员以及现
- 人体器官捐献应当遵循的原则为A、自愿、合
- 从DNA分子到蛋白质分子遗传信息的传递中
- 关于麻疹,错误的是A、早期诊断靠Kopl
- 未经医师(士)亲自诊查病人或亲自接产,医
- 不应注销注册的A、受刑事处罚的B、受吊销
- 在没有抗体存在时仍可发生的免疫作用是(
- 牛带绦虫病的诊断方法包括A、免疫学诊断B
- 医生,李某, 未经人体器官移植技术临床应
- 下列哪类病人是结核病易感者A、支气管哮喘
- 抗菌药物临床应用的分级管理说法不正确的是
- 省级人民政府接到突发事件,应当向国务院卫
- 预防肾综合征出血热的正确措施为(