试题详情
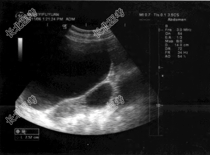
- 单项选择题女,25岁, 超声检查如图,最可能的诊断为

A、左卵巢癌
B、左侧输卵管积液
C、左卵巢卵泡
D、左卵巢囊肿
E、扩张的左侧输尿管
关注下方微信公众号,搜题查看答案

热门试题
- 描述肝内外胆管扩张,不正确的是A、扩张的
- 患者,女性, 22岁,既往发现房间隔缺损
- 无痛性梗阻性黄疸伴胆囊增大,可能的原因有
- 超声测量胎儿股骨长度,怎样才能避免较大的
- 在检测低速血流时,增大余辉将导致A、图像
- 以下关于胰腺大小测量的说法,错误的是A、
- 若振幅增大2倍,强度将:A、增大2倍B、
- 患者,男,65岁,关节疼痛、心悸、气促、
- 腮腺癌的超声表现不包括A、肿瘤多呈不均质
- 用多普勒效应的原理计算血流速度的公式是A
- 超声诊断膀胱憩室不能了解的问题是A、和脐
- 关于真性脾破裂,描述正确的是A、外伤性脾
- 关于主动脉缩窄,下列哪项不对( )A
- 关于肾积水,下列哪项不正确A、任何情况下
- 组织的平均声衰减最低的是 ( )
- 超声弹性成像临床应用的适应证有A、青光眼
- 1、首先考虑的疾病是A、原发性肝癌B、肝
- 下列诊断法中属于辉度调节型的是 (
- 常规超声检查脾时,发现脾门区一个小圆形结
- 下列哪项不是慢性胰腺炎的超声诊断标准A、