试题详情
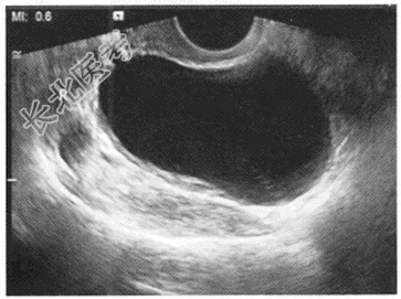
- 单项选择题女,25岁, B超检查如图所示,最可能的诊断为

A、右卵巢癌
B、右侧输卵管积液
C、右卵巢卵泡
D、右卵巢囊肿
E、扩张的右侧输尿管
关注下方微信公众号,搜题查看答案

热门试题
- 将具有发射和接受脉冲超声的探头,利用手动
- 下列哪种疾病的检查应首选超声检查(USC
- 有关肠套叠不正确的是A、一段肠管套入另一
- 患者,女, 12岁,心脏超声检查示原发孔
- 1、对于右肾病变,最可能的超声诊断是2、
- 1、可能的诊断是2、经治疗后症状较前改善
- 以下叙述不正确的是A、膀胱输尿管开口处有
- 对于陈旧性心肌梗死合并心尖部室壁瘤形成的
- 下列哪项对彩色多普勒的依赖较小A、瓣膜疾
- 彩色多普勒超声检查成人颅内动脉,其常用的
- 超声探头频率的临床应用,下列哪项是错误的
- 肝囊肿合并感染时,与下面哪种疾病不易鉴别
- 子宫两侧的附件不包括下列哪项结构A、输卵
- 患者男性,14岁。平时无症状,查体发现胸
- 以下哪一项是原发性肝癌周围组织的声像表现
- 患者,女, 18岁。因突然出现右眼视矇2
- 下列回声强度排列顺序,不正确的是 (
- 某男性患者,体检时超声显示肝内有一圆形无
- 下列哪一项不是腮腺混合瘤的声像图表现A、
- 女性,21岁, 孕34周,超声诊断: 羊