试题详情
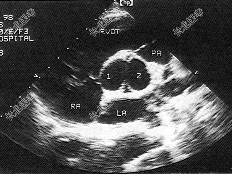
- 单项选择题该病例超声检查如图,最可能的诊断是

A、主动脉二叶瓣
B、主动脉单瓣
C、主动脉四叶瓣
D、主动脉三叶瓣
E、主动脉五叶瓣
关注下方微信公众号,搜题查看答案

热门试题
- 关于脊柱裂,描述正确的是A、脊柱裂根据是
- 患者,女, 45岁,发现颈部包块2个月,
- 阴囊及其内容物结核的超声表现包括A、附睾
- 穿过肠系膜上动脉与腹主动脉之间夹角的血管
- 关于肠系膜上动脉描述,不正确的是A、起自
- 某男性患者,厌油、纳差,皮肤巩膜黄染,超
- 识别超声伪像可以 ( )A、辅
- 测量左心室容积参数的方法不包括A、M型超
- 患者,女性, 29岁。既往月经规律,现停
- 动静脉瘘的超声表现,错误的是A、瘘道近端
- 在下列哪种物质中声速最快:A、软组织B、
- 卵巢巧克力囊肿的声像图类型,下列哪一项不
- 与颈动脉夹层动脉瘤声像图表现无关的是A、
- 女,63岁, 原有胆囊结石史。近来突发右
- 男,32岁,超声示睾丸内可探及多个结节状
- 关于人体组织、病变回声强度,叙述错误的有
- 回声信号放大并变成视频信号是由超声仪的哪
- 男,15岁, 发现多处自发性骨折。近2个
- 随年龄增加,胰腺的声像图改变表现为A、回
- 下列哪项不是数字变换器(DSC)的功能