试题详情
- [材料题]
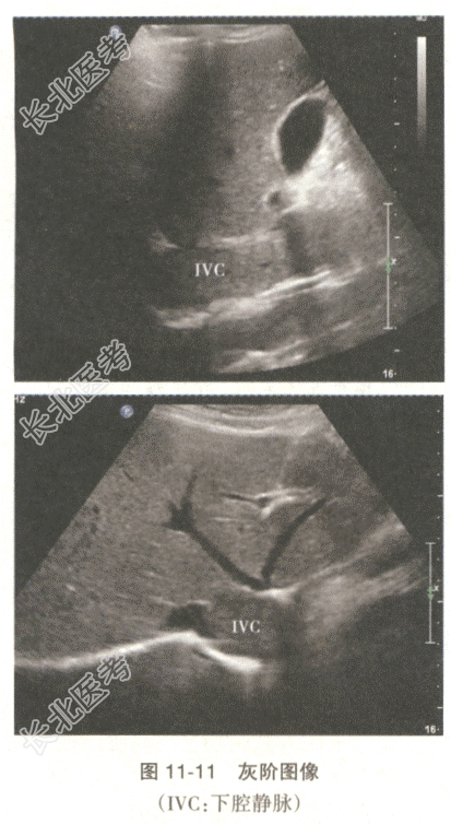
患者,女性,48岁。子宫肌瘤剔除术后复发,1个月前入院术前检查发现心脏占位。下腔静脉的声像图表现如图11-11。

- 多项选择题1.为明确诊断,下一步应进行的超声检查为
A、检查肝静脉
B、检查双肾
C、检查双肾动脉
D、观察下腔静脉内病变的范围
E、检查髂静脉及下肢深静脉
F、检查子宫静脉、盆腔静脉丛
G、检查脾静脉及肠系膜上静脉
H、下腔静脉CDFI成像
I、观察下腔静脉内病变与心脏占位之间的关系
J、检查腹主动脉
K、检查双肾静脉
关注下方微信公众号,搜题查看答案

- 多项选择题2.[提示]进一步超声检查显示双肾静脉、双下肢静脉未见明显异常(图11-12A)。下腔静脉内病变与心脏占位相延续,并累及双侧髂总、髂内静脉、子宫静脉、子宫肌壁间静脉。病变内部可见多处纤细纵行短条状静脉血流。肝静脉的声像图表现如图11-12B。考虑本病是

A、布加综合征
B、静脉内平滑肌瘤病
C、下腔静脉血栓形成
D、下腔静脉癌栓
E、下腔静脉血管内皮瘤
F、系统性血管炎
关注下方微信公众号,搜题查看答案

- 多项选择题3.该例患者可能出现的临床表现包括
A、肝功异常
B、心脏听诊闻及肿瘤扑落音
C、双下肢肿胀
D、腹腔积液
E、双肺听诊过清音
F、腹痛、腹胀
关注下方微信公众号,搜题查看答案

热门试题
- 对于室间隔缺损,说法不正确的是A、三尖瓣
- 对于病毒性肝硬化病理生理基础,叙述准确的
- 有关肝血管瘤的说法哪项是正确的A、小于3
- 1、根据上述临床表现,需考虑的疾病包括A
- 对于主动脉-肺动脉间隔缺损,说法准确的有
- 1、该患可诊断为2、该患属于3、若该患采
- 对于胸壁恶性肿瘤,叙述准确的是A、可为多
- 脾梗死的声像图表现有A、部分坏死区可形成
- 1、此患者可能的诊断是A、肝细胞肝癌B、
- 符合肥厚型梗阻性心肌病超声诊断的为A、梗
- 根据唇腭裂的部位不同,可将其分为( )
- 关于人体血流的基本规律和特点,叙述正确的
- 输尿管的三个生理性狭窄是A、进入膀胱壁内
- 对于气胸的超声征象表述,准确的是A、M型
- 关于泊肃叶方程(Poiseuille e
- 有关甲状腺结节核素显像结果的分析,下列正
- 可能会出现发绀的疾病有A、永存动脉干B、
- 1、应该考虑到的疾病有2、对患者左下肢进
- 1、下列超声表现中,可作为诊断该畸形的主
- 宽频探头的接收方式有哪几种A、选频接收B