试题详情
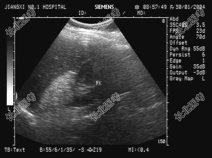
- 单项选择题某患者没有明显不适,根据其肝右叶-右肾区超声检查如图, 最可能的诊断为

A、正常图像
B、肾脓肿
C、肾上腺腺瘤
D、肾上腺嗜铬细胞瘤
E、肾上腺髓样脂肪瘤
关注下方微信公众号,搜题查看答案

热门试题
- 淋巴管囊肿指的是 ( )A、小脑
- 患者女性,30岁。由于右上腹疼痛, 食欲
- 以下关于胰的描述正确的是A、胰管和肝总管
- 肾上腺神经细胞瘤声像图表现中,哪项描述错
- 下图为眼睛正常声像图,请回答图中黄←、绿
- 肾上腺外嗜铬细胞瘤多见于A、肾门B、上腔
- 子宫位置有 ( ) ①前倾位
- 关于组织多普勒超声特点,不正确的是A、高
- 二尖瓣瓣上隔膜与左侧三房心的区别是什么A
- 以下哪项是脐带绕颈的原因 ( )
- 关于肥厚型心肌病SAM现象的发生机理是A
- 关于正常肺动脉解剖的叙述,不正确的是A、
- 房间隔缺损第Ⅱ孔型的USG表现中,哪项不
- 移植肾常位于:A、腰方肌后方盆腔内B、盆
- 心脏在胚胎发育第几周是已经基本发育完成
- 有关探头选择,下列哪项不妥当A、成人食道
- 胃十二指肠动脉来自于( ),供血于
- 关于成人甲状旁腺的解剖,叙述不正确的是A
- 关于缩窄性心包炎的描述中错误的是A、可见
- 以下哪一数值是正常室间隔厚度与左心室后壁