试题详情
- 单项选择题临床资料:男性患者, 67岁,自述患高血压、糖尿病20年余。长期服用降压药, 血压控制好。
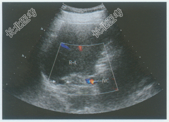
超声综合描述:肝右叶后方与下腔静脉间可见0.8cm×1.0cm类圆形低回声区(箭头所示), 边界清晰,CDFI: 内未见动静脉血流信号。见彩图。
超声提示: A、右膈下占位
B、下腔静脉内癌栓
C、右肾上腺结节
D、肝右叶结节
E、肝硬化
关注下方微信公众号,搜题查看答案

热门试题
- 不属于法洛三联症的超声心动图表现应是A、
 - 患者男性,34岁, 活动后心悸、气短2年
 - 以下哪一组织传播超声的速度最快A、肌肉B
 - 镜面右位心错误的是 ( )A、心
 - 关于子宫内膜癌的彩色及频谱多普勒超声表现
 - 临床资料:男, 22岁,自述下腹部不适。
 - 三尖瓣下移畸型的超声可见 ( )
 - 以下哪项是胆囊病变影像学常规检查方法A、
 - 哪一类扫查能够显示以下肾脏图形 (
 - 以下哪项是包绕羊水的薄膜 ( )
 - 以下哪项是超声诊断肢体动静脉瘘最有力的依
 - 超声引导下经皮囊肿穿刺硬化治疗适应证包括
 - 下列哪项不属于脐带绕颈自行解脱或缠绕的因
 - 下列哪项不属于急性骨髓炎的超声征象A、骨
 - 胆囊壁可因下列哪项原因导致增厚:A、高胆
 - 嗜铬细胞瘤的声像表现正确的是A、瘤体较大
 - 关于鼻的描述,下列不正确的是A、鼻根向下
 - 调节灰阶超声仪器的工作条件达到最佳状况,
 - 对盆腔炎性肿块鉴别诊断的描述,下列哪一项
 - 以下哪项是肌肉新鲜血肿的声像图特点