试题详情
- 单项选择题临床资料:女, 40岁,常规体检。
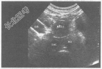
超声综合描述: 腹主动脉下腔静脉前方,胰头右侧可见3.6cm×3.4cm圆形低回声区, 边界清晰,包膜完整, 内回声尚均匀,CDFI: 内未明显血流信号,周边可见血管绕行。见下图及彩图。
根据超声提示:  A、腹腔肿大淋巴结
B、胰头癌
C、胰头炎性假瘤
D、腹膜后实性占位
E、壶腹癌
关注下方微信公众号,搜题查看答案

热门试题
- 男性患者,18岁, 瘦长体型,高度近视,
 - 子宫肌瘤彩色及频谱多普勒超声特征,不正确
 - 腹膜后液性占位性病变不见于:A、淋巴囊肿
 - 临床常用E峰流速,A峰流速, E/A比值
 - 甲状颈干起源于以下哪支血管A、主动脉弓B
 - 肌的辅助装置不包括的是A、腱膜B、籽骨C
 - 新生儿患者,男性, 超声检查诊断为完全性
 - 以下有关确定是腹膜后肿瘤的定位说法,正确
 - 关于卵泡囊肿的叙述,有误的是A、多发生于
 - 关于心尖四腔切面以下哪项错误A、可清晰显
 - 不属于埃布斯坦畸形在超声上的主要表现是A
 - 可引起肺动脉高压的疾病是A、左心室右心房
 - 以下关于阑尾的描述正确的是A、位置变化不
 - 下列关于胸膜顶的描述不正确的是A、最高点
 - 致密沉积物病属于A、膜性肾小球肾炎B、快
 - 关于巧克力囊肿的描述,下列错误的是A、多
 - 睾丸鞘膜积液是液体蓄积在 ( )
 - 能够提高测量血流速度值的方法有A、零位线
 - 男性患者,28岁, 胸部疼痛1周余,神清
 - 关于镰状韧带的肝内部分,描述正确的是