试题详情
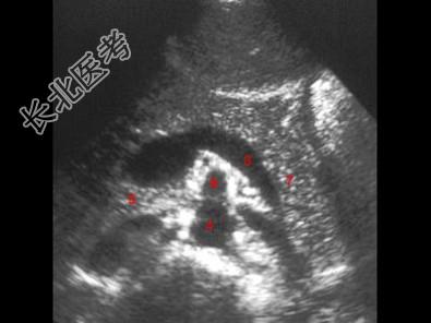
- 单项选择题图示6所指部位为 ( )

A、腹主动脉
B、肠系膜上静脉
C、脾静脉
D、肠系膜上动脉
E、胰尾
关注下方微信公众号,搜题查看答案

热门试题
- 原发性胰腺癌根据病理组织学分类最常见的是
- 根据肝脏声像图表现,最有可能的诊断是
- 门脉高压时,反向压力可造成脾 (
- 以下哪个部位胃肠超声异常声像表现为“琴键
- 肾积水典型的声像图特点为A、肾脏增大B、
- 以下哪项是骨巨细胞瘤恶变的特征性超声表现
- 布-查综合征患者合并门脉血栓的比例是A、
- 子宫内膜癌与子宫内膜息肉的鉴别要点,错误
- 关于骨软骨瘤,说法不正确的是A、肿瘤组织
- 瘢痕组织声衰减显著,这是因为A、瘢痕组织
- 患者,男性, 20岁。剧烈咳嗽后突发胸痛
- 临床资料:男, 20岁,血尿待查。 超
- 以下哪项属于脾脏正常回声:A、中等回声但
- 关于各向异性伪像,叙述不正确的有A、仅见
- 心房收缩期在心血管生理上具有的意义是A、
- 肾柱肥大是因为 ( )A、肾脏的
- 二维超声检测左心室用以判断有无冠心病的主
- 胃癌的超声特征包括有A、胃壁五层结构消失
- 临床资料:女性, 24岁,常规体检。
- 可以提高彩色多普勒对低速血流检测能力的方