试题详情
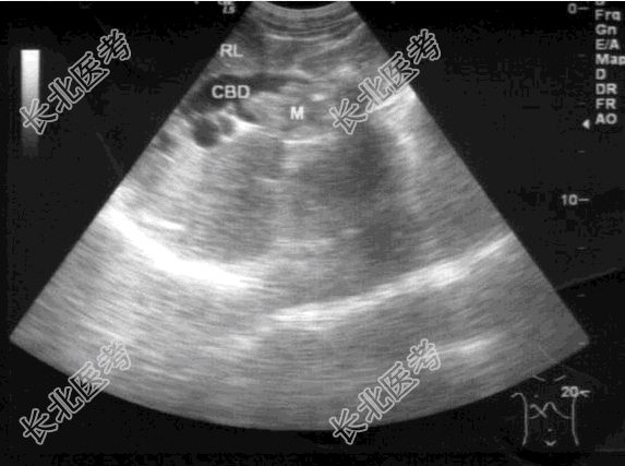
- 单项选择题女,47岁, 皮肤、巩膜黄染,进行性加重2个月余, 腹痛、腹胀,既往有胆结石病史。B超检查如图所示, 根据超声声像图,诊断为

 A、胆总管癌
B、胆总管蛔虫
C、胆总管胆泥淤积
D、胆总管结石
E、胆总管癌并结石
关注下方微信公众号,搜题查看答案

热门试题
- 颈部血管损伤可分为: ①完全断裂②非断裂
 - 以下哪一项不是十二指肠四部分A、降部B、
 - 黄体囊肿常在以下哪种情况出现A、不孕B、
 - 以下哪项是腹主动脉彩色多普勒血流特点A、
 - 彩色多普勒检测高速血流时易出现的是A、彩
 - 下列亚急性细菌性心内膜炎的抗生素治疗中,
 - 当发生梗阻性黄疸时,通过以下哪项声像图特
 - 对比分辨力指的是A、超声诊断仪能够显示的
 - 风湿性心脏病二尖瓣狭窄,彩色多普勒血流显
 - 关于黄素囊肿,下列哪一项不正确A、早期妊
 - 关于小肠的描述正确的是A、空肠管径较粗B
 - 股动脉走行于下列哪个部位:A、腹股沟韧带
 - 男性患者,近视, 四肢细长,行超声检查心
 - 关于血吸虫肝病至肝硬化的超声特点是A、肝
 - 脑动、静脉畸形的超声表现不包括的是A、C
 - 妊娠期仰卧位低血压综合征的产生是因为A、
 - 正常腮腺的声像图表现是 ( )A
 - 无脑畸形的声像图表现,不包括以下哪一项A
 - 行腹膜后超声检测时需要做的准备有A、检查
 - 卵泡≥多少mm为主卵泡:A、8.0mmB