试题详情
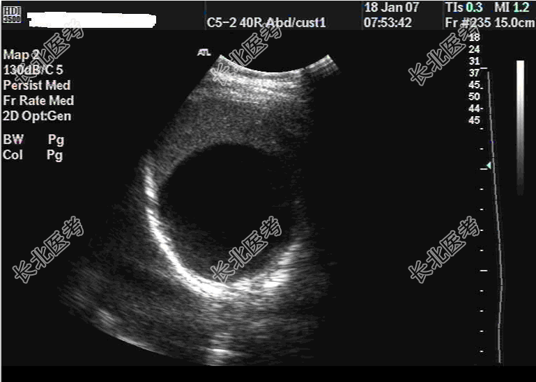
- 单项选择题患者,女性, 73岁,无明显症状及体征, 超声表现如图,那么应诊断为

 A、脾囊肿
B、脾血管瘤
C、脾结核
D、脾淋巴管瘤
E、以上都不是
关注下方微信公众号,搜题查看答案

热门试题
- 36周胎儿,超声检查如图23-5所示,
 - 子宫肌瘤是由平滑肌及少量纤维组织组成,其
 - 胃壁固有肌层声像图上回声为A、极高回声B
 - 胡桃夹综合征是什么?超声检查如图
 - 指出下列有关心包的描述,哪一项是有误的A
 - 临床资料:男, 77岁,自述尿急、尿频。
 - 关于超声评价主动脉瓣狭窄程度的方法错误的
 - 1、最可能的诊断是2、该病需要和下列哪些
 - 脾梗死的典型声像图是A、梗死区坏死液化出
 - 下列关节囊内有韧带的关节是A、肩关节B、
 - 有关右心房的描述,哪项是有误的A、上腔静
 - 先天性二尖瓣前叶裂常是和以下哪种畸形并发
 - 临床资料:男, 75岁,自述下腹部不适。
 - 频谱多普勒检测时移动零位基线的用途应为A
 - 患者,男, 30岁,心脏超声检查示右冠一
 - 不属于二尖瓣关闭不全的超声征象是A、脉冲
 - 肝脓肿和肝囊肿的区别为( )A、脓肿
 - 患者,男性, 40岁,主诉上腹不适、消瘦
 - 腮腺多形性腺瘤又称:A、腮腺黏液表皮样癌
 - 临床资料:男性患者, 62岁,自述右下腹