试题详情
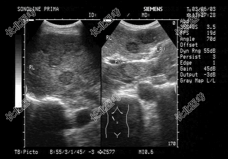
- 单项选择题男,62岁, 直肠肿瘤术后半年。结合超声检查如图,那么诊断为

A、肝硬化
B、转移性肝癌
C、肝囊肿
D、肝脓肿
E、肝血管瘤
关注下方微信公众号,搜题查看答案

热门试题
- 下述关于急性炎症时白细胞渗出的描述中,不
- 主动脉弓靠左侧发出的第一个分支是(
- 以下肾肿瘤描述中,哪一项正确 (
- 用7~10MHz高频探头,检查正常阴囊的
- 经眼睑进行眼部二维超声检查,最佳探头频率
- 以下哪一种疾病不会导致肺动脉高压A、房间
- 从心尖部可以检查哪个心脏超声切面图A、四
- 关于水样变性的叙述,下列不正确的是A、变
- 恶性肿瘤扩散的机制中,以下不正确的是A、
- 从主动脉瓣关闭到二尖瓣开放这一时期称作(
- 以下不符合肾盂肾炎的病因发病的描述是A、
- 以下哪项是介入性超声的禁忌证A、化脓性感
- 10岁小儿,曾多次患肺炎, 无发绀,胸骨
- 睾丸二维超声显示为:A、囊实性交织回声B
- 下列关于大脑中动脉重度狭窄的超声描述不正
- 超声估测主动脉瓣关闭不全反流量的方法是A
- 患者女性,24岁, 呼吸困难,乏力, 上
- 1、根据病史及超声所见,首先要考虑的是A
- 下列脾淋巴肉瘤的超声表现,不正确的是A、
- 冠状动脉血流量的调节因素包括的是A、血管