试题详情
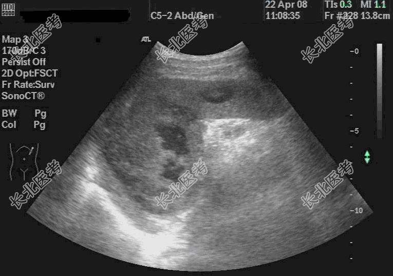
- 单项选择题患者男,77岁, 由于“间断发热半月余,加重伴胸闷1天”来诊, 曾间断使用头孢三代、喹诺酮类等抗炎及退热药物治疗,未见明显好转。入院体格检查: 体温39.1℃,脉搏88次/分, 呼吸22次/分,双肺听诊: 呼吸音减低,未闻及干湿啰音, 脾肋下未及,肝肾区无叩痛, 上腹正中有压痛。辅助检查:血常规WBC 21.2×109/L, N 85.6%,L6.9%; 超声检查如图,应诊断为

 A、脾结核
B、脾转移性癌
C、脾多发性脓肿
D、脾淋巴瘤
E、脾血管瘤
关注下方微信公众号,搜题查看答案

热门试题
- 平行于脐和耻骨联合连线的切面为:A、矢状
 - 临床资料:女, 41岁,血尿待查。 超
 - 下述哪一种甲状腺内结节外周常见低回声环(
 - 下列妨碍腹主动脉超声检测的是: ①肠内
 - 妊娠晚期羊水量达到或超过多少毫升称羊水过
 - 某孕妇胎儿颈部可探及以下图像,最可能的诊
 - 探头与声场的关系中,以下正确的是A、探头
 - 以下关于腹内斜肌的描述,正确的是A、肌纤
 - 乳腺恶性肿瘤的声像图特征有下列哪项?①肿
 - 关于踝关节的叙述,正确的是A、由胫骨下端
 - 下列卵巢黏液性囊腺瘤声像图特点,哪一项是
 - 下述超声征象在正常胸腔可以看见的是A、2
 - 壶腹癌与胰腺癌鉴别诊断时,壶腹癌通常不会
 - 约50%宫内生长迟缓的胎盘表现为 (
 - 女性,22岁, 发热半个月,心脏超声检查
 - 在实质性脏器的速度型彩色多普勒检测中,不
 - 下列对正常胆道的描述哪一项错误的是A、胆
 - 以下不符合高血压性心脏病的声像图特点是A
 - 以下脾静脉走行的描述,正确的是A、跨越体
 - 患者,男, 30岁,心脏超声检查示右冠一