试题详情
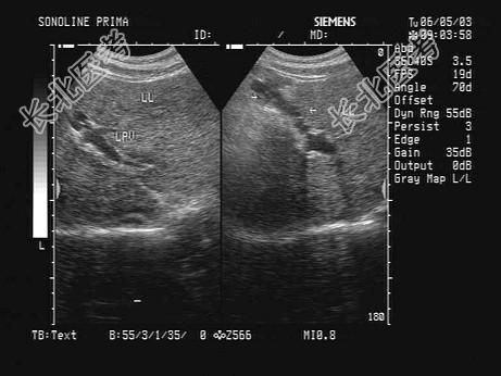
- 单项选择题某患者肝脏声像图表现如图,提示肝脏回声不均匀致密, 肝内可见一管状结构,考虑诊断为   (   )

 A、门脉海棉样变性
B、肝淤血
C、脐静脉重开
D、肝内胆管扩张
E、肝血管瘤
关注下方微信公众号,搜题查看答案

热门试题
- 患者,女性, 19岁,月经稀少, 多毛,
 - 关于正常心动周期中多普勒频谱检测血流动力
 - 此图表明为   (   )
 - 哪项不属于原发性肝癌的继发征象A、门静脉
 - 患者,男, 现今13岁,诊断左侧三房心,
 - 1、为了解血管痉挛的程度,首选的简便快捷
 - 腹腔动脉位于何处:A、肠系膜上、下静脉汇
 - 下列不参与腕关节构成的骨是A、月骨B、手
 - 第一肝门区的结构包括的是A、肝动脉、门静
 - 下列股骨长径与腹围比率正常值是 (
 - 由体内血红蛋白(Hb)过度溶解造成的黄疸
 - 肾良性肿瘤包括A、肾嗜酸细胞瘤B、肾脂肪
 - 孕妇,32岁, 孕2产0,停经12周5d
 - 患儿青紫,存室间隔缺损, 如图所示,诊断
 - 下肢深静脉血栓的危险因素,应除了A、败血
 - 不属于肝局限性结节性增生的声像图表现是A
 - 以下哪项是正常睾丸的回声特点 (
 - 男性,患者, 66岁,既往大量饮酒史,
 - 辅助呼气的肌肉是A、胸大肌B、胸小肌C、
 - 关于经阴道超声检查的优势,以下叙述不正确