试题详情
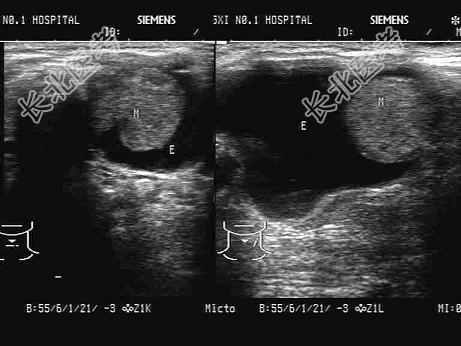
- 单项选择题患者,女, 66岁,近半月颈部明显增大。超声检查如图, 以下最可能的诊断为 ( )

A、甲状腺炎
B、甲状腺乳头状囊腺癌
C、甲状腺囊肿
D、甲状腺腺瘤并囊变
E、结节性甲状腺肿
关注下方微信公众号,搜题查看答案

热门试题
- 急性感染性心内膜炎最常见的病原菌是A、金
- 女,25岁, 超声检查如图,最可能的诊断
- 下列哪一项不是急性胆囊炎的并发症A、胆囊
- 患者,男, 现今23岁,心脏超声检查示胸
- 患者,女, 13岁,心脏超声诊断为左侧三
- 经小网膜囊和胃后壁不相邻的脏器是A、肝脏
- 子宫大于孕周发生于: ①多胎 ②子宫
- 心内膜弹力纤维增生症与扩张型心肌病超声鉴
- 位于左肾上方并将脾脏推向前移位的肿块,最
- 急性睾丸疼痛常见疾病声像图有: ①睾丸
- 李某,女, 30岁,孕31周, 突发腹痛
- 1、不能导致脾肿大的疾病是A、肝硬化B、
- 关于卵巢子宫内膜异位症的诊断与鉴别诊断,
- 关于多胎妊娠,无误的是A、一般都有羊水少
- 临床资料:女性, 31岁,孕38周。
- 以下哪项是血栓形成的概念A、血管内血液凝
- 慢性肾功能不全失代偿期超声表现是: ①
- 肾上腺髓样脂肪瘤的超声表现包括: ①肾
- 结节性甲状腺肿的声像图表现 (
- 1、根据该疾病的超声图像,下列诊断最准确